TGF beta 1 Antibody - #AF1027

Product: | TGF beta 1 Antibody |
Catalog: | AF1027 |
Description: | Rabbit polyclonal antibody to TGF beta 1 |
Application: | WB IHC IF/ICC |
Cited expt.: | WB, IHC, IF/ICC |
Reactivity: | Human, Mouse, Rat |
Prediction: | Pig, Bovine, Horse, Sheep, Dog |
Mol.Wt.: | 44~65kd(precursor), 28kD(dimer), 15kD(monomer); 44kD(Calculated). |
Uniprot: | P01137 |
RRID: | AB_2835389 |
Product Info
*The optimal dilutions should be determined by the end user.
*Tips:
WB: For western blot detection of denatured protein samples. IHC: For immunohistochemical detection of paraffin sections (IHC-p) or frozen sections (IHC-f) of tissue samples. IF/ICC: For immunofluorescence detection of cell samples. ELISA(peptide): For ELISA detection of antigenic peptide.
Cite Format: Affinity Biosciences Cat# AF1027, RRID:AB_2835389.
Fold/Unfold
Cartilage-inducing factor; CED; Differentiation inhibiting factor; DPD1; LAP; Latency-associated peptide; Prepro transforming growth factor beta 1; TGF beta 1; TGF beta; TGF beta 1 protein; TGF-beta 1 protein; TGF-beta-1; TGF-beta-5; TGF-beta1; TGFB; Tgfb-1; tgfb1; TGFB1_HUMAN; TGFbeta; TGFbeta1; Transforming Growth Factor b1; Transforming Growth Factor beta 1; Transforming growth factor beta 1a; transforming growth factor beta-1; transforming growth factor, beta 1; Transforming Growth Factor-ß1;
Immunogens
A synthesized peptide derived from human TGF beta1, corresponding to a region within C-terminal amino acids.
Highly expressed in bone (PubMed:11746498, PubMed:17827158). Abundantly expressed in articular cartilage and chondrocytes and is increased in osteoarthritis (OA) (PubMed:11746498, PubMed:17827158). Colocalizes with ASPN in chondrocytes within OA lesions of articular cartilage (PubMed:17827158).
- P01137 TGFB1_HUMAN:
- Protein BLAST With
- NCBI/
- ExPASy/
- Uniprot
MPPSGLRLLLLLLPLLWLLVLTPGRPAAGLSTCKTIDMELVKRKRIEAIRGQILSKLRLASPPSQGEVPPGPLPEAVLALYNSTRDRVAGESAEPEPEPEADYYAKEVTRVLMVETHNEIYDKFKQSTHSIYMFFNTSELREAVPEPVLLSRAELRLLRLKLKVEQHVELYQKYSNNSWRYLSNRLLAPSDSPEWLSFDVTGVVRQWLSRGGEIEGFRLSAHCSCDSRDNTLQVDINGFTTGRRGDLATIHGMNRPFLLLMATPLERAQHLQSSRHRRALDTNYCFSSTEKNCCVRQLYIDFRKDLGWKWIHEPKGYHANFCLGPCPYIWSLDTQYSKVLALYNQHNPGASAAPCCVPQALEPLPIVYYVGRKPKVEQLSNMIVRSCKCS
Predictions
Score>80(red) has high confidence and is suggested to be used for WB detection. *The prediction model is mainly based on the alignment of immunogen sequences, the results are for reference only, not as the basis of quality assurance.
High(score>80) Medium(80>score>50) Low(score<50) No confidence
Research Backgrounds
Transforming growth factor beta-1 proprotein: Precursor of the Latency-associated peptide (LAP) and Transforming growth factor beta-1 (TGF-beta-1) chains, which constitute the regulatory and active subunit of TGF-beta-1, respectively.
Required to maintain the Transforming growth factor beta-1 (TGF-beta-1) chain in a latent state during storage in extracellular matrix. Associates non-covalently with TGF-beta-1 and regulates its activation via interaction with 'milieu molecules', such as LTBP1, LRRC32/GARP and LRRC33/NRROS, that control activation of TGF-beta-1. Interaction with LRRC33/NRROS regulates activation of TGF-beta-1 in macrophages and microglia (Probable). Interaction with LRRC32/GARP controls activation of TGF-beta-1 on the surface of activated regulatory T-cells (Tregs). Interaction with integrins (ITGAV:ITGB6 or ITGAV:ITGB8) results in distortion of the Latency-associated peptide chain and subsequent release of the active TGF-beta-1.
Transforming growth factor beta-1: Multifunctional protein that regulates the growth and differentiation of various cell types and is involved in various processes, such as normal development, immune function, microglia function and responses to neurodegeneration (By similarity). Activation into mature form follows different steps: following cleavage of the proprotein in the Golgi apparatus, Latency-associated peptide (LAP) and Transforming growth factor beta-1 (TGF-beta-1) chains remain non-covalently linked rendering TGF-beta-1 inactive during storage in extracellular matrix. At the same time, LAP chain interacts with 'milieu molecules', such as LTBP1, LRRC32/GARP and LRRC33/NRROS that control activation of TGF-beta-1 and maintain it in a latent state during storage in extracellular milieus. TGF-beta-1 is released from LAP by integrins (ITGAV:ITGB6 or ITGAV:ITGB8): integrin-binding to LAP stabilizes an alternative conformation of the LAP bowtie tail and results in distortion of the LAP chain and subsequent release of the active TGF-beta-1. Once activated following release of LAP, TGF-beta-1 acts by binding to TGF-beta receptors (TGFBR1 and TGFBR2), which transduce signal. While expressed by many cells types, TGF-beta-1 only has a very localized range of action within cell environment thanks to fine regulation of its activation by Latency-associated peptide chain (LAP) and 'milieu molecules' (By similarity). Plays an important role in bone remodeling: acts as a potent stimulator of osteoblastic bone formation, causing chemotaxis, proliferation and differentiation in committed osteoblasts (By similarity). Can promote either T-helper 17 cells (Th17) or regulatory T-cells (Treg) lineage differentiation in a concentration-dependent manner (By similarity). At high concentrations, leads to FOXP3-mediated suppression of RORC and down-regulation of IL-17 expression, favoring Treg cell development (By similarity). At low concentrations in concert with IL-6 and IL-21, leads to expression of the IL-17 and IL-23 receptors, favoring differentiation to Th17 cells (By similarity). Stimulates sustained production of collagen through the activation of CREB3L1 by regulated intramembrane proteolysis (RIP). Mediates SMAD2/3 activation by inducing its phosphorylation and subsequent translocation to the nucleus. Can induce epithelial-to-mesenchymal transition (EMT) and cell migration in various cell types.
Transforming growth factor beta-1 proprotein: The precursor proprotein is cleaved in the Golgi apparatus by FURIN to form Transforming growth factor beta-1 (TGF-beta-1) and Latency-associated peptide (LAP) chains, which remain non-covalently linked, rendering TGF-beta-1 inactive.
N-glycosylated. Deglycosylation leads to activation of Transforming growth factor beta-1 (TGF-beta-1); mechanisms triggering deglycosylation-driven activation of TGF-beta-1 are however unclear.
Secreted>Extracellular space>Extracellular matrix.
Secreted.
Highly expressed in bone. Abundantly expressed in articular cartilage and chondrocytes and is increased in osteoarthritis (OA). Colocalizes with ASPN in chondrocytes within OA lesions of articular cartilage.
The 'straitjacket' and 'arm' domains encircle the Transforming growth factor beta-1 (TGF-beta-1) monomers and are fastened together by strong bonding between Lys-56 and Tyr-103/Tyr-104.
The cell attachment site motif mediates binding to integrins (ITGAV:ITGB6 or ITGAV:ITGB8) (PubMed:28117447). The motif locates to a long loop in the arm domain called the bowtie tail (PubMed:28117447). Integrin-binding stabilizes an alternative conformation of the bowtie tail (PubMed:28117447). Activation by integrin requires force application by the actin cytoskeleton, which is resisted by the 'milieu molecules' (such as LTBP1, LRRC32/GARP and/or LRRC33/NRROS), resulting in distortion of the prodomain and release of the active TGF-beta-1 (PubMed:28117447).
Belongs to the TGF-beta family.
Research Fields
· Cellular Processes > Cell growth and death > Cell cycle. (View pathway)
· Cellular Processes > Cell growth and death > Cellular senescence. (View pathway)
· Environmental Information Processing > Signal transduction > MAPK signaling pathway. (View pathway)
· Environmental Information Processing > Signaling molecules and interaction > Cytokine-cytokine receptor interaction. (View pathway)
· Environmental Information Processing > Signal transduction > FoxO signaling pathway. (View pathway)
· Environmental Information Processing > Signal transduction > TGF-beta signaling pathway. (View pathway)
· Environmental Information Processing > Signal transduction > Hippo signaling pathway. (View pathway)
· Human Diseases > Endocrine and metabolic diseases > Non-alcoholic fatty liver disease (NAFLD).
· Human Diseases > Infectious diseases: Parasitic > Leishmaniasis.
· Human Diseases > Infectious diseases: Parasitic > Chagas disease (American trypanosomiasis).
· Human Diseases > Infectious diseases: Parasitic > Malaria.
· Human Diseases > Infectious diseases: Parasitic > Toxoplasmosis.
· Human Diseases > Infectious diseases: Parasitic > Amoebiasis.
· Human Diseases > Infectious diseases: Bacterial > Tuberculosis.
· Human Diseases > Infectious diseases: Viral > Hepatitis B.
· Human Diseases > Infectious diseases: Viral > HTLV-I infection.
· Human Diseases > Cancers: Overview > Pathways in cancer. (View pathway)
· Human Diseases > Cancers: Overview > Proteoglycans in cancer.
· Human Diseases > Cancers: Specific types > Colorectal cancer. (View pathway)
· Human Diseases > Cancers: Specific types > Renal cell carcinoma. (View pathway)
· Human Diseases > Cancers: Specific types > Pancreatic cancer. (View pathway)
· Human Diseases > Cancers: Specific types > Chronic myeloid leukemia. (View pathway)
· Human Diseases > Cancers: Specific types > Hepatocellular carcinoma. (View pathway)
· Human Diseases > Cancers: Specific types > Gastric cancer. (View pathway)
· Human Diseases > Immune diseases > Inflammatory bowel disease (IBD).
· Human Diseases > Immune diseases > Rheumatoid arthritis.
· Human Diseases > Cardiovascular diseases > Hypertrophic cardiomyopathy (HCM).
· Human Diseases > Cardiovascular diseases > Dilated cardiomyopathy (DCM).
· Organismal Systems > Development > Osteoclast differentiation. (View pathway)
· Organismal Systems > Immune system > Th17 cell differentiation. (View pathway)
· Organismal Systems > Immune system > Intestinal immune network for IgA production. (View pathway)
· Organismal Systems > Endocrine system > Relaxin signaling pathway.
References
Application: WB Species: human Sample:
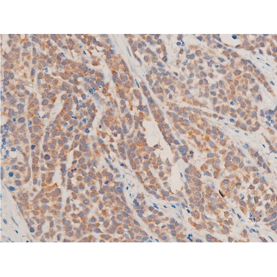
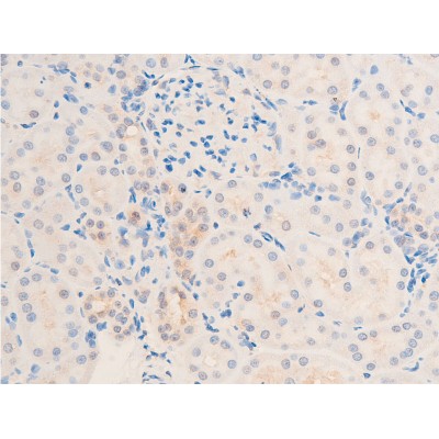
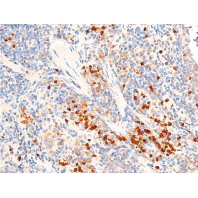
Application: IHC Species: rat Sample:
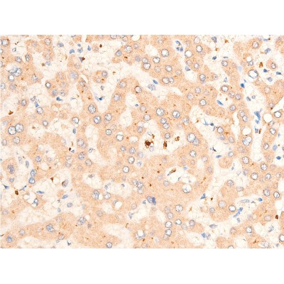
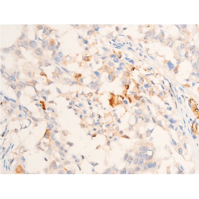
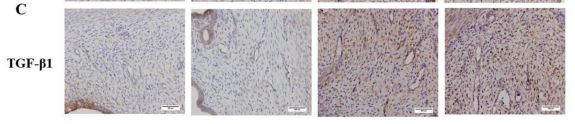
Application: IHC Species: Mice Sample: skin
Application: WB Species: Human Sample: HK2 cells
Restrictive clause
Affinity Biosciences tests all products strictly. Citations are provided as a resource for additional applications that have not been validated by Affinity Biosciences. Please choose the appropriate format for each application and consult Materials and Methods sections for additional details about the use of any product in these publications.
For Research Use Only.
Not for use in diagnostic or therapeutic procedures. Not for resale. Not for distribution without written consent. Affinity Biosciences will not be held responsible for patent infringement or other violations that may occur with the use of our products. Affinity Biosciences, Affinity Biosciences Logo and all other trademarks are the property of Affinity Biosciences LTD.