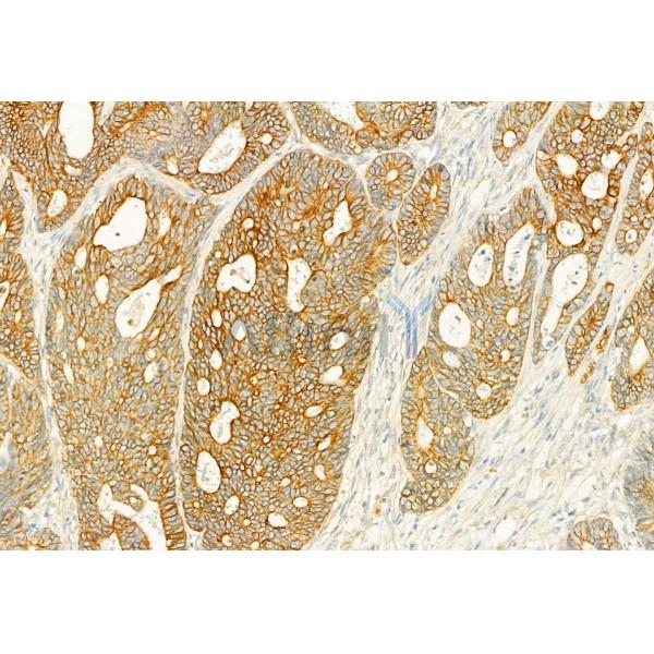
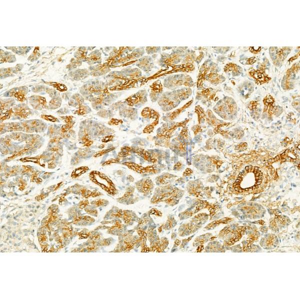
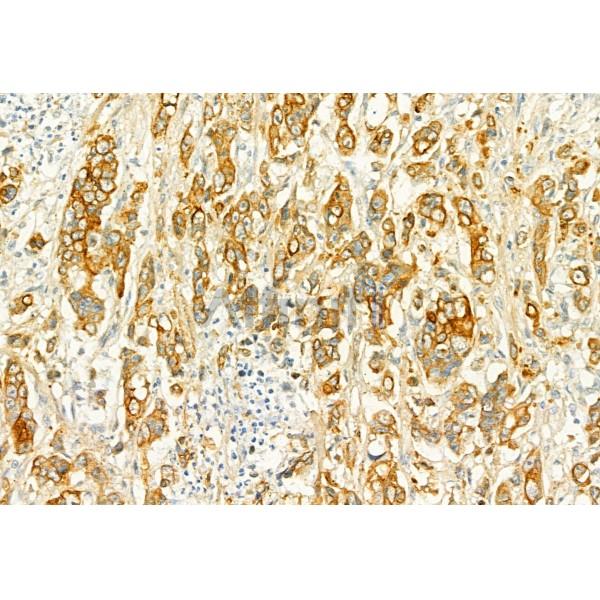
PLCE1 Antibody - #DF2565

Product: | PLCE1 Antibody |
Catalog: | DF2565 |
Description: | Rabbit polyclonal antibody to PLCE1 |
Application: | WB IHC IF/ICC |
Cited expt.: | WB |
Reactivity: | Human, Mouse, Rat, Monkey |
Prediction: | Bovine, Horse, Sheep |
Mol.Wt.: | 258kDa; 259kD(Calculated). |
Uniprot: | Q9P212 |
RRID: | AB_2839771 |
Related Downloads
Protocols
Product Info
*The optimal dilutions should be determined by the end user.
*Tips:
WB: For western blot detection of denatured protein samples. IHC: For immunohistochemical detection of paraffin sections (IHC-p) or frozen sections (IHC-f) of tissue samples. IF/ICC: For immunofluorescence detection of cell samples. ELISA(peptide): For ELISA detection of antigenic peptide.
Cite Format: Affinity Biosciences Cat# DF2565, RRID:AB_2839771.
Fold/Unfold
1-phosphatidylinositol-4; 5-bisphosphate phosphodiesterase epsilon-1; Pancreas-enriched phospholipase C; Phosphoinositide phospholipase C-epsilon-1; Phospholipase C-epsilon-1; PLC-epsilon-1; Plce1; PLCE1_HUMAN;
Immunogens
A synthesized peptide derived from human PLCE1, corresponding to a region within C-terminal amino acids.
Widely expressed. Isoform 1 is broadly expressed and only absent in peripheral blood leukocytes. Isoform 2 is specifically expressed in placenta, lung and spleen.
- Q9P212 PLCE1_HUMAN:
- Protein BLAST With
- NCBI/
- ExPASy/
- Uniprot
MTSEEMTASVLIPVTQRKVVSAQSAADESSEKVSDINISKAHTVRRSGETSHTISQLNKLKEEPSGSNLPKILSIAREKIVSDENSNEKCWEKIMPDSAKNLNINCNNILRNHQHGLPQRQFYEMYNSVAEEDLCLETGIPSPLERKVFPGIQLELDRPSMGISPLGNQSVIIETGRAHPDSRRAVFHFHYEVDRRMSDTFCTLSENLILDDCGNCVPLPGGEEKQKKNYVAYTCKLMELAKNCDNKNEQLQCDHCDTLNDKYFCFEGSCEKVDMVYSGDSFCRKDFTDSQAAKTFLSHFEDFPDNCDDVEEDAFKSKKERSTLLVRRFCKNDREVKKSVYTGTRAIVRTLPSGHIGLTAWSYIDQKRNGPLLPCGRVMEPPSTVEIRQDGSQRLSEAQWYPIYNAVRREETENTVGSLLHFLTKLPASETAHGRISVGPCLKQCVRDTVCEYRATLQRTSISQYITGSLLEATTSLGARSGLLSTFGGSTGRMMLKERQPGPSVANSNALPSSSAGISKELIDLQPLIQFPEEVASILMEQEQTIYRRVLPVDYLCFLTRDLGTPECQSSLPCLKASISASILTTQNGEHNALEDLVMRFNEVSSWVTWLILTAGSMEEKREVFSYLVHVAKCCWNMGNYNAVMEFLAGLRSRKVLKMWQFMDQSDIETMRSLKDAMAQHESSCEYRKVVTRALHIPGCKVVPFCGVFLKELCEVLDGASGLMKLCPRYNSQEETLEFVADYSGQDNFLQRVGQNGLKNSEKESTVNSIFQVIRSCNRSLETDEEDSPSEGNSSRKSSLKDKSRWQFIIGDLLDSDNDIFEQSKEYDSHGSEDSQKAFDHGTELIPWYVLSIQADVHQFLLQGATVIHYDQDTHLSARCFLQLQPDNSTLTWVKPTTASPASSKAKLGVLNNTAEPGKFPLLGNAGLSSLTEGVLDLFAVKAVYMGHPGIDIHTVCVQNKLGSMFLSETGVTLLYGLQTTDNRLLHFVAPKHTAKMLFSGLLELTRAVRKMRKFPDQRQQWLRKQYVSLYQEDGRYEGPTLAHAVELFGGRRWSARNPSPGTSAKNAEKPNMQRNNTLGISTTKKKKKILMRGESGEVTDDEMATRKAKMHKECRSRSGSDPQDINEQEESEVNAIANPPNPLPSRRAHSLTTAGSPNLAAGTSSPIRPVSSPVLSSSNKSPSSAWSSSSWHGRIKGGMKGFQSFMVSDSNMSFVEFVELFKSFSVRSRKDLKDLFDVYAVPCNRSGSESAPLYTNLTIDENTSDLQPDLDLLTRNVSDLGLFIKSKQQLSDNQRQISDAIAAASIVTNGTGIESTSLGIFGVGILQLNDFLVNCQGEHCTYDEILSIIQKFEPSISMCHQGLMSFEGFARFLMDKENFASKNDESQENIKELQLPLSYYYIESSHNTYLTGHQLKGESSVELYSQVLLQGCRSVELDCWDGDDGMPIIYHGHTLTTKIPFKEVVEAIDRSAFINSDLPIIISIENHCSLPQQRKMAEIFKTVFGEKLVTKFLFETDFSDDPMLPSPDQLRKKVLLKNKKLKAHQTPVDILKQKAHQLASMQVQAYNGGNANPRPANNEEEEDEEDEYDYDYESLSDDNILEDRPENKSCNDKLQFEYNEEIPKRIKKADNSACNKGKVYDMELGEEFYLDQNKKESRQIAPELSDLVIYCQAVKFPGLSTLNASGSSRGKERKSRKSIFGNNPGRMSPGETASFNKTSGKSSCEGIRQTWEESSSPLNPTTSLSAIIRTPKCYHISSLNENAAKRLCRRYSQKLTQHTACQLLRTYPAATRIDSSNPNPLMFWLHGIQLVALNYQTDDLPLHLNAAMFEANGGCGYVLKPPVLWDKNCPMYQKFSPLERDLDSMDPAVYSLTIVSGQNVCPSNSMGSPCIEVDVLGMPLDSCHFRTKPIHRNTLNPMWNEQFLFHVHFEDLVFLRFAVVENNSSAVTAQRIIPLKALKRGYRHLQLRNLHNEVLEISSLFINSRRMEENSSGNTMSASSMFNTEERKCLQTHRVTVHGVPGPEPFTVFTINGGTKAKQLLQQILTNEQDIKPVTTDYFLMEEKYFISKEKNECRKQPFQRAIGPEEEIMQILSSWFPEEGYMGRIVLKTQQENLEEKNIVQDDKEVILSSEEESFFVQVHDVSPEQPRTVIKAPRVSTAQDVIQQTLCKAKYSYSILSNPNPSDYVLLEEVVKDTTNKKTTTPKSSQRVLLDQECVFQAQSKWKGAGKFILKLKEQVQASREDKKKGISFASELKKLTKSTKQPRGLTSPSQLLTSESIQTKEEKPVGGLSSSDTMDYRQ
Predictions
Score>80(red) has high confidence and is suggested to be used for WB detection. *The prediction model is mainly based on the alignment of immunogen sequences, the results are for reference only, not as the basis of quality assurance.
High(score>80) Medium(80>score>50) Low(score<50) No confidence
Research Backgrounds
The production of the second messenger molecules diacylglycerol (DAG) and inositol 1,4,5-trisphosphate (IP3) is mediated by activated phosphatidylinositol-specific phospholipase C enzymes. PLCE1 is a bifunctional enzyme which also regulates small GTPases of the Ras superfamily through its Ras guanine-exchange factor (RasGEF) activity. As an effector of heterotrimeric and small G-protein, it may play a role in cell survival, cell growth, actin organization and T-cell activation.
Cytoplasm>Cytosol. Cell membrane. Golgi apparatus membrane.
Note: Recruited to plasma membrane by activated HRAS and RAP2. Recruited to perinuclear membrane by activated RAP1A. Isoform 1 and isoform 2 associates with Golgi membranes.
Widely expressed. Isoform 1 is broadly expressed and only absent in peripheral blood leukocytes. Isoform 2 is specifically expressed in placenta, lung and spleen.
The Ras-associating domain 1 is degenerated and may not bind HRAS. The Ras-associating domain 2 mediates interaction with GTP-bound HRAS, RAP1A, RAP2A and RAP2B and recruitment of HRAS to the cell membrane.
The Ras-GEF domain has a GEF activity towards HRAS and RAP1A. Mediates activation of the mitogen-activated protein kinase pathway.
Research Fields
· Environmental Information Processing > Signal transduction > Ras signaling pathway. (View pathway)
· Environmental Information Processing > Signal transduction > Rap1 signaling pathway. (View pathway)
· Environmental Information Processing > Signal transduction > Calcium signaling pathway. (View pathway)
· Environmental Information Processing > Signal transduction > cAMP signaling pathway. (View pathway)
· Environmental Information Processing > Signal transduction > Phosphatidylinositol signaling system.
· Human Diseases > Cancers: Overview > Proteoglycans in cancer.
· Metabolism > Carbohydrate metabolism > Inositol phosphate metabolism.
· Metabolism > Global and overview maps > Metabolic pathways.
· Organismal Systems > Endocrine system > Thyroid hormone signaling pathway. (View pathway)
References
Application: WB Species: human Sample: esophageal cancer cells
Restrictive clause
Affinity Biosciences tests all products strictly. Citations are provided as a resource for additional applications that have not been validated by Affinity Biosciences. Please choose the appropriate format for each application and consult Materials and Methods sections for additional details about the use of any product in these publications.
For Research Use Only.
Not for use in diagnostic or therapeutic procedures. Not for resale. Not for distribution without written consent. Affinity Biosciences will not be held responsible for patent infringement or other violations that may occur with the use of our products. Affinity Biosciences, Affinity Biosciences Logo and all other trademarks are the property of Affinity Biosciences LTD.