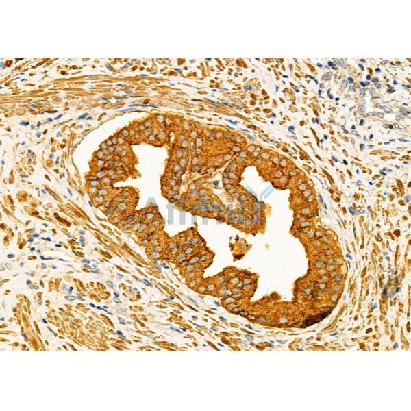
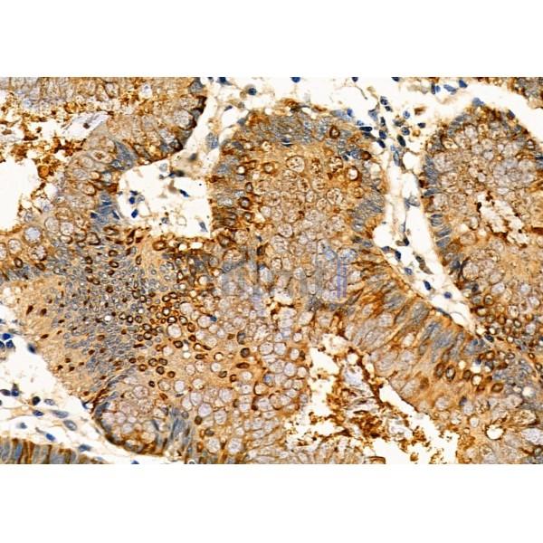
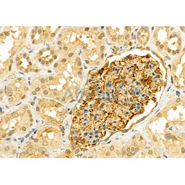
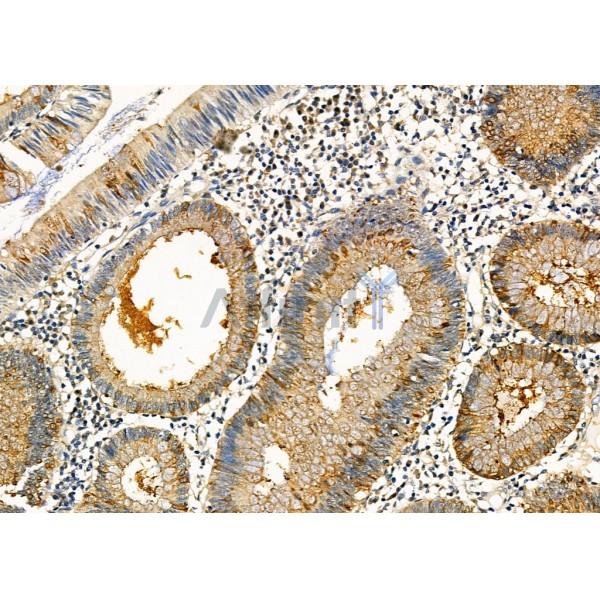
Product: KLK2 Antibody
Catalog: DF7136
Description: Rabbit polyclonal antibody to KLK2
Application: WB IHC
Reactivity: Human, Mouse, Rat
Mol.Wt.: 29kDa; 29kD(Calculated).
Uniprot: P20151
RRID: AB_2839090

View similar products>>

   Size Price Inventory
 100ul $280 In stock
 200ul $350 In stock

Lead Time: Same day delivery

For pricing and ordering contact:
Local distributors

Product Info

Source:
Rabbit
Application:
WB 1:500-1:2000, IHC 1:100-1:200
*The optimal dilutions should be determined by the end user. For optimal experimental results, antibody reuse is not recommended.
*Tips:

WB: For western blot detection of denatured protein samples. IHC: For immunohistochemical detection of paraffin sections (IHC-p) or frozen sections (IHC-f) of tissue samples. IF/ICC: For immunofluorescence detection of cell samples. ELISA(peptide): For ELISA detection of antigenic peptide.

Reactivity:
Human,Mouse,Rat
Clonality:
Polyclonal
Specificity:
KLK2 Antibody detects endogenous levels of total KLK2.
RRID:
AB_2839090
Cite Format: Affinity Biosciences Cat# DF7136, RRID:AB_2839090.
Conjugate:
Unconjugated.
Purification:
The antiserum was purified by peptide affinity chromatography using SulfoLink™ Coupling Resin (Thermo Fisher Scientific).
Storage:
Rabbit IgG in phosphate buffered saline , pH 7.4, 150mM NaCl, 0.02% sodium azide and 50% glycerol. Store at -20 °C. Stable for 12 months from date of receipt.
Alias:

Fold/Unfold

Glandular kallikrein 2; Glandular kallikrein-1; hGK 1; hGK-1; hK2; Kallikrein 2 prostatic; Kallikrein related peptidase 2; kallikrein, glandular; Kallikrein, prostatic; Kallikrein-2; KLK 2; Klk-2; Klk2; KLK2_HUMAN; KLK2A 2; KLK2A2; MGC12201; Tissue kallikrein 2; Tissue kallikrein-2; Ton;

Immunogens

Immunogen:

A synthesized peptide derived from human KLK2, corresponding to a region within the internal amino acids.

Uniprot:
Gene(ID):
Description:
This gene encodes a member of the grandular kallikrein protein family. Kallikreins are a subgroup of serine proteases that are clustered on chromosome 19. Members of this family are involved in a diverse array of biological functions. The protein encoded by this gene is a highly active trypsin-like serine protease that selectively cleaves at arginine residues. This protein is primarily expressed in prostatic tissue and is responsible for cleaving pro-prostate-specific antigen into its enzymatically active form. This gene is highly expressed in prostate tumor cells and may be a prognostic maker for prostate cancer risk. Alternate splicing results in both coding and non-coding transcript variants.
Sequence:
MWDLVLSIALSVGCTGAVPLIQSRIVGGWECEKHSQPWQVAVYSHGWAHCGGVLVHPQWVLTAAHCLKKNSQVWLGRHNLFEPEDTGQRVPVSHSFPHPLYNMSLLKHQSLRPDEDSSHDLMLLRLSEPAKITDVVKVLGLPTQEPALGTTCYASGWGSIEPEEFLRPRSLQCVSLHLLSNDMCARAYSEKVTEFMLCAGLWTGGKDTCGGDSGGPLVCNGVLQGITSWGPEPCALPEKPAVYTKVVHYRKWIKDTIAANP

Research Backgrounds

Function:

Glandular kallikreins cleave Met-Lys and Arg-Ser bonds in kininogen to release Lys-bradykinin.

Family&Domains:

Belongs to the peptidase S1 family. Kallikrein subfamily.

Research Fields

· Organismal Systems > Endocrine system > Renin-angiotensin system.   (View pathway)

· Organismal Systems > Excretory system > Endocrine and other factor-regulated calcium reabsorption.

Restrictive clause

 

Affinity Biosciences tests all products strictly. Citations are provided as a resource for additional applications that have not been validated by Affinity Biosciences. Please choose the appropriate format for each application and consult Materials and Methods sections for additional details about the use of any product in these publications.

For Research Use Only.
Not for use in diagnostic or therapeutic procedures. Not for resale. Not for distribution without written consent. Affinity Biosciences will not be held responsible for patent infringement or other violations that may occur with the use of our products. Affinity Biosciences, Affinity Biosciences Logo and all other trademarks are the property of Affinity Biosciences LTD.