Product: POLI Antibody
Catalog: DF6707
Description: Rabbit polyclonal antibody to POLI
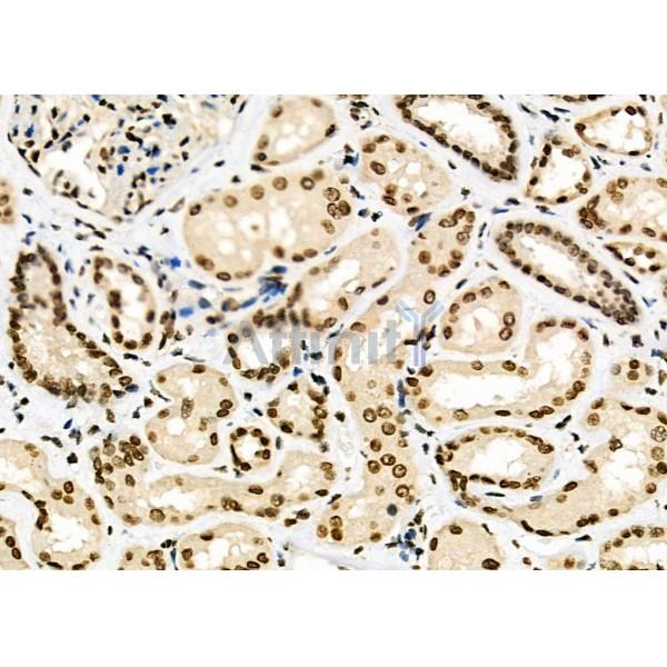
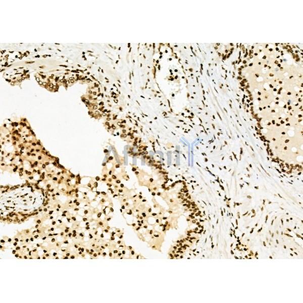
Application: WB IHC IF/ICC
Reactivity: Human, Mouse, Rat
Prediction: Rabbit
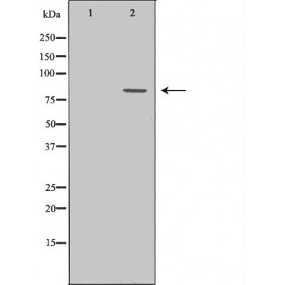
Mol.Wt.: 80kDa; 83kD(Calculated).
Uniprot: Q9UNA4
RRID: AB_2838669

View similar products>>

   Size Price Inventory
 100ul $280 In stock
 200ul $350 In stock

Lead Time: Same day delivery

For pricing and ordering contact:
Local distributors

Product Info

Source:
Rabbit
Application:
WB 1:500-1:2000, IHC 1:50-1:200, IF/ICC 1:100-1:500
*The optimal dilutions should be determined by the end user. For optimal experimental results, antibody reuse is not recommended.
*Tips:

WB: For western blot detection of denatured protein samples. IHC: For immunohistochemical detection of paraffin sections (IHC-p) or frozen sections (IHC-f) of tissue samples. IF/ICC: For immunofluorescence detection of cell samples. ELISA(peptide): For ELISA detection of antigenic peptide.

Reactivity:
Human,Mouse,Rat
Prediction:
Rabbit(100%)
Clonality:
Polyclonal
Specificity:
POLI Antibody detects endogenous levels of total POLI.
RRID:
AB_2838669
Cite Format: Affinity Biosciences Cat# DF6707, RRID:AB_2838669.
Conjugate:
Unconjugated.
Purification:
The antiserum was purified by peptide affinity chromatography using SulfoLink™ Coupling Resin (Thermo Fisher Scientific).
Storage:
Rabbit IgG in phosphate buffered saline , pH 7.4, 150mM NaCl, 0.02% sodium azide and 50% glycerol. Store at -20 °C. Stable for 12 months from date of receipt.
Alias:

Fold/Unfold

DNA polymerase iota; Eta 2; Eta2; POLI; POLI_HUMAN; Polymerase (DNA directed) iota; RAD 30B; RAD30 homolog B; RAD30, S. cerevisiae, homolog of; RAD30B; RAD3OB;

Immunogens

Immunogen:

A synthesized peptide derived from human POLI, corresponding to a region within N-terminal amino acids.

Uniprot:
Gene(ID):
Expression:
Q9UNA4 POLI_HUMAN:

Ubiquitous. Highly expressed in testis.

Description:
Mammalian Pol ι owns an unusual combination of properties: it is stimulated by Mn2+ ions, can bypass some DNA lesions and misincorporates “G” opposite template “T” more frequently than incorporates the correct “A.” [PMID:21304950] It also was shown to possess dRP lyase activity. In addition, Pol ι is much more efficient in the presence of Mn2+ in comparison to Mg2+. [PMID: 17609217]. It has been proposed that POLI involves in immunoglobulin somatic hypermutation (SHM), bypass of deaminated cytosines, several adducts of the purine bases. DNA strand crosslinks and is involved in DNA repair under oxidative stress. [PMID:15199127]
Sequence:
MEKLGVEPEEEGGGDDDEEDAEAWAMELADVGAAASSQGVHDQVLPTPNASSRVIVHVDLDCFYAQVEMISNPELKDKPLGVQQKYLVVTCNYEARKLGVKKLMNVRDAKEKCPQLVLVNGEDLTRYREMSYKVTELLEEFSPVVERLGFDENFVDLTEMVEKRLQQLQSDELSAVTVSGHVYNNQSINLLDVLHIRLLVGSQIAAEMREAMYNQLGLTGCAGVASNKLLAKLVSGVFKPNQQTVLLPESCQHLIHSLNHIKEIPGIGYKTAKCLEALGINSVRDLQTFSPKILEKELGISVAQRIQKLSFGEDNSPVILSGPPQSFSEEDSFKKCSSEVEAKNKIEELLASLLNRVCQDGRKPHTVRLIIRRYSSEKHYGRESRQCPIPSHVIQKLGTGNYDVMTPMVDILMKLFRNMVNVKMPFHLTLLSVCFCNLKALNTAKKGLIDYYLMPSLSTTSRSGKHSFKMKDTHMEDFPKDKETNRDFLPSGRIESTRTRESPLDTTNFSKEKDINEFPLCSLPEGVDQEVFKQLPVDIQEEILSGKSREKFQGKGSVSCPLHASRGVLSFFSKKQMQDIPINPRDHLSSSKQVSSVSPCEPGTSGFNSSSSSYMSSQKDYSYYLDNRLKDERISQGPKEPQGFHFTNSNPAVSAFHSFPNLQSEQLFSRNHTTDSHKQTVATDSHEGLTENREPDSVDEKITFPSDIDPQVFYELPEAVQKELLAEWKRAGSDFHIGHK

Predictions

Predictions:

Score>80(red) has high confidence and is suggested to be used for WB detection. *The prediction model is mainly based on the alignment of immunogen sequences, the results are for reference only, not as the basis of quality assurance.

Species
Results
Score
Rabbit
100
Pig
0
Horse
0
Bovine
0
Sheep
0
Dog
0
Xenopus
0
Zebrafish
0
Chicken
0
Model Confidence:
High(score>80) Medium(80>score>50) Low(score<50) No confidence

Research Backgrounds

Function:

Error-prone DNA polymerase specifically involved in DNA repair. Plays an important role in translesion synthesis, where the normal high-fidelity DNA polymerases cannot proceed and DNA synthesis stalls. Favors Hoogsteen base-pairing in the active site. Inserts the correct base with high-fidelity opposite an adenosine template. Exhibits low fidelity and efficiency opposite a thymidine template, where it will preferentially insert guanosine. May play a role in hypermutation of immunogobulin genes. Forms a Schiff base with 5'-deoxyribose phosphate at abasic sites, but may not have lyase activity.

PTMs:

Monoubiquitinated. Protein monoubiquitination prevents POLI binding to ubiquitin via the ubiquitin-binding motif 1 and ubiquitin-binding motif 2.

Subcellular Location:

Nucleus.
Note: Binding to ubiquitin mediates localization to replication forks after UV-induced DNA damage.

Extracellular region or secreted Cytosol Plasma membrane Cytoskeleton Lysosome Endosome Peroxisome ER Golgi apparatus Nucleus Mitochondrion Manual annotation Automatic computational assertionSubcellular location
Tissue Specificity:

Ubiquitous. Highly expressed in testis.

Family&Domains:

The catalytic core consists of fingers, palm and thumb subdomains, but the fingers and thumb subdomains are much smaller than in high-fidelity polymerases; residues from five sequence motifs of the Y-family cluster around an active site cleft that can accommodate DNA and nucleotide substrates with relaxed geometric constraints, with consequently higher rates of misincorporation and low processivity.

Ubiquitin-binding motif 1 and ubiquitin-binding motif 2 regulate POLI protein monoubiquitination and localization to nuclear foci after UV-induced DNA damage.

Belongs to the DNA polymerase type-Y family.

Research Fields

· Genetic Information Processing > Replication and repair > Fanconi anemia pathway.

Restrictive clause

 

Affinity Biosciences tests all products strictly. Citations are provided as a resource for additional applications that have not been validated by Affinity Biosciences. Please choose the appropriate format for each application and consult Materials and Methods sections for additional details about the use of any product in these publications.

For Research Use Only.
Not for use in diagnostic or therapeutic procedures. Not for resale. Not for distribution without written consent. Affinity Biosciences will not be held responsible for patent infringement or other violations that may occur with the use of our products. Affinity Biosciences, Affinity Biosciences Logo and all other trademarks are the property of Affinity Biosciences LTD.