SQSTM1/p62 Antibody - #AF5384

Product: | SQSTM1/p62 Antibody |
Catalog: | AF5384 |
Description: | Rabbit polyclonal antibody to SQSTM1/p62 |
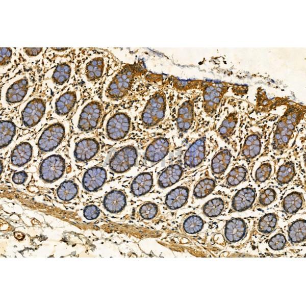
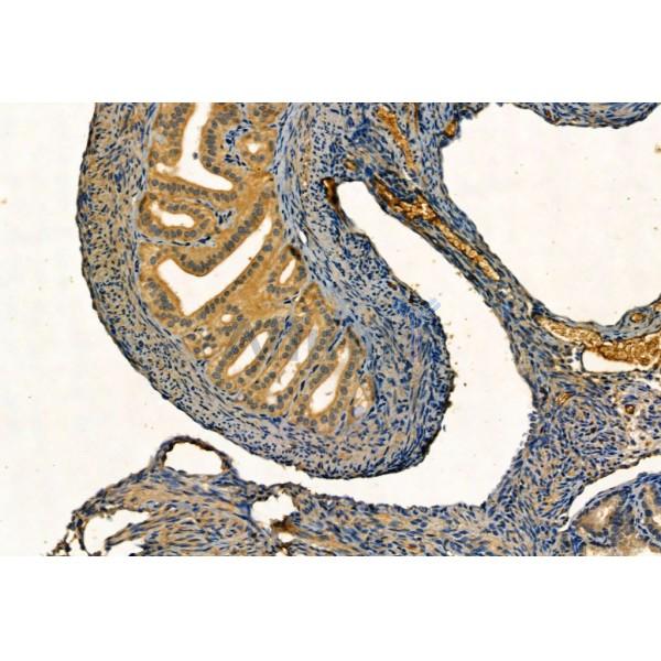
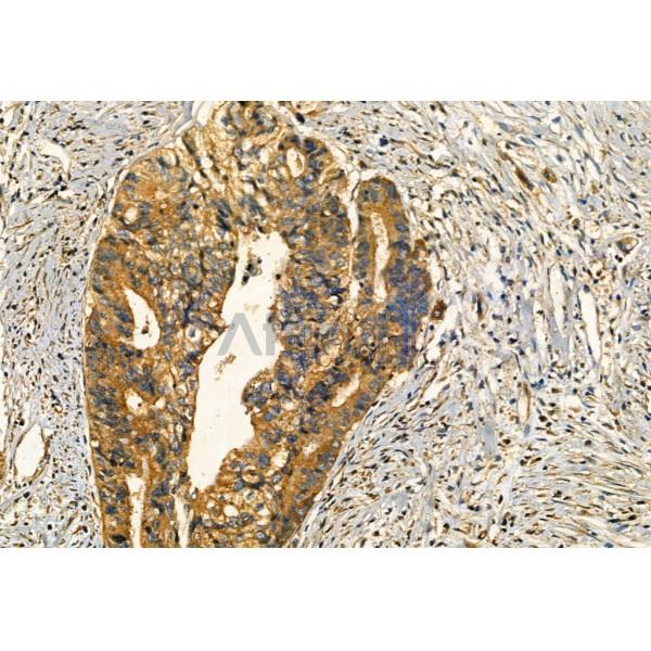
Application: | WB IHC IF/ICC |
Cited expt.: | WB, IHC, IF/ICC |
Reactivity: | Human, Mouse, Rat, Monkey |
Prediction: | Pig, Zebrafish, Bovine, Horse, Sheep, Rabbit, Chicken |
Mol.Wt.: | 62 kDa; 48kD(Calculated). |
Uniprot: | Q13501 |
RRID: | AB_2837869 |
Product Info
*The optimal dilutions should be determined by the end user.
*Tips:
WB: For western blot detection of denatured protein samples. IHC: For immunohistochemical detection of paraffin sections (IHC-p) or frozen sections (IHC-f) of tissue samples. IF/ICC: For immunofluorescence detection of cell samples. ELISA(peptide): For ELISA detection of antigenic peptide.
Cite Format: Affinity Biosciences Cat# AF5384, RRID:AB_2837869.
Fold/Unfold
A170; DMRV; EBI 3 associated protein of 60 kDa; EBI 3 associated protein p60; EBI3 associated protein of 60 kDa; EBI3 associated protein p60; EBI3-associated protein of 60 kDa; EBIAP; FTDALS3; MGC127197; ORCA; OSF-6; Osi; OSIL; Oxidative stress induced like; p60; p62; p62B; Paget disease of bone 3; PDB 3; PDB3; Phosphotyrosine independent ligand for the Lck SH2 domain of 62 kDa; Phosphotyrosine independent ligand for the Lck SH2 domain p62; Phosphotyrosine-independent ligand for the Lck SH2 domain of 62 kDa; PKC-zeta-interacting protein; Protein kinase C-zeta-interacting protein; Sequestosome 1; Sequestosome-1; SQSTM 1; SQSTM_HUMAN; Sqstm1; STAP; STONE14; Ubiquitin binding protein p62; Ubiquitin-binding protein p62; ZIP 3; ZIP; ZIP3;
Immunogens
A synthesized peptide derived from human SQSTM1/p62, corresponding to a region within C-terminal amino acids.
- Q13501 SQSTM_HUMAN:
- Protein BLAST With
- NCBI/
- ExPASy/
- Uniprot
MASLTVKAYLLGKEDAAREIRRFSFCCSPEPEAEAEAAAGPGPCERLLSRVAALFPALRPGGFQAHYRDEDGDLVAFSSDEELTMAMSYVKDDIFRIYIKEKKECRRDHRPPCAQEAPRNMVHPNVICDGCNGPVVGTRYKCSVCPDYDLCSVCEGKGLHRGHTKLAFPSPFGHLSEGFSHSRWLRKVKHGHFGWPGWEMGPPGNWSPRPPRAGEARPGPTAESASGPSEDPSVNFLKNVGESVAAALSPLGIEVDIDVEHGGKRSRLTPVSPESSSTEEKSSSQPSSCCSDPSKPGGNVEGATQSLAEQMRKIALESEGRPEEQMESDNCSGGDDDWTHLSSKEVDPSTGELQSLQMPESEGPSSLDPSQEGPTGLKEAALYPHLPPEADPRLIESLSQMLSMGFSDEGGWLTRLLQTKNYDIGAALDTIQYSKHPPPL
Predictions
Score>80(red) has high confidence and is suggested to be used for WB detection. *The prediction model is mainly based on the alignment of immunogen sequences, the results are for reference only, not as the basis of quality assurance.
High(score>80) Medium(80>score>50) Low(score<50) No confidence
Research Backgrounds
Autophagy receptor required for selective macroautophagy (aggrephagy). Functions as a bridge between polyubiquitinated cargo and autophagosomes. Interacts directly with both the cargo to become degraded and an autophagy modifier of the MAP1 LC3 family. Along with WDFY3, involved in the formation and autophagic degradation of cytoplasmic ubiquitin-containing inclusions (p62 bodies, ALIS/aggresome-like induced structures). Along with WDFY3, required to recruit ubiquitinated proteins to PML bodies in the nucleus. May regulate the activation of NFKB1 by TNF-alpha, nerve growth factor (NGF) and interleukin-1. May play a role in titin/TTN downstream signaling in muscle cells. May regulate signaling cascades through ubiquitination. Adapter that mediates the interaction between TRAF6 and CYLD (By similarity). May be involved in cell differentiation, apoptosis, immune response and regulation of K(+) channels. Involved in endosome organization by retaining vesicles in the perinuclear cloud: following ubiquitination by RNF26, attracts specific vesicle-associated adapters, forming a molecular bridge that restrains cognate vesicles in the perinuclear region and organizes the endosomal pathway for efficient cargo transport. Promotes relocalization of 'Lys-63'-linked ubiquitinated STING1 to autophagosomes. Acts as an activator of the NFE2L2/NRF2 pathway via interaction with KEAP1: interaction inactivates the BCR(KEAP1) complex, promoting nuclear accumulation of NFE2L2/NRF2 and subsequent expression of cytoprotective genes.
Phosphorylated. May be phosphorylated by PRKCZ (By similarity). Phosphorylated in vitro by TTN. Phosphorylation at Ser-403 by ULK1 is stimulated by SESN2. Phosphorylated at Ser-403 by TBK1, leading to promote relocalization of 'Lys-63'-linked ubiquitinated STING1 to autophagosomes. Phosphorylation at Ser-349 by MTOR promotes interaction with KEAP1 and inactivation of the BCR(KEAP1) complex, promoting NFE2L2/NRF2 nuclear accumulation and expression of phase II detoxifying enzymes (By similarity).
Ubiquitinated by RNF26: ubiquitinated SQSTM1 attracts specific vesicle-associated adapters, forming a molecular bridge that restrains cognate vesicles in the perinuclear region and organizes the endosomal pathway for efficient cargo transport. Deubiquitination by USP15 releases target vesicles for fast transport into the cell periphery. Ubiquitinated by the BCR(KEAP1) complex at Lys-420, increasing SQSTM1 sequestering activity and promoting its degradation. Ubiquitinated via 'Lys-29' and 'Lys-33'-linked polyubiquitination leading to xenophagic targeting of bacteria and inhibition of their replication.
Cytoplasm>Cytosol. Late endosome. Lysosome. Cytoplasmic vesicle>Autophagosome. Nucleus. Endoplasmic reticulum. Nucleus>PML body. Cytoplasm>Myofibril>Sarcomere.
Note: In cardiac muscle, localizes to the sarcomeric band (By similarity). Commonly found in inclusion bodies containing polyubiquitinated protein aggregates. In neurodegenerative diseases, detected in Lewy bodies in Parkinson disease, neurofibrillary tangles in Alzheimer disease, and HTT aggregates in Huntington disease. In protein aggregate diseases of the liver, found in large amounts in Mallory bodies of alcoholic and nonalcoholic steatohepatitis, hyaline bodies in hepatocellular carcinoma, and in SERPINA1 aggregates. Enriched in Rosenthal fibers of pilocytic astrocytoma. In the cytoplasm, observed in both membrane-free ubiquitin-containing protein aggregates (sequestosomes) and membrane-surrounded autophagosomes. Colocalizes with TRIM13 in the perinuclear endoplasmic reticulum. Co-localizes with TRIM5 in cytoplasmic bodies. When nuclear export is blocked by treatment with leptomycin B, accumulates in PML bodies.
Ubiquitously expressed.
The UBA domain binds specifically 'Lys-63'-linked polyubiquitin chains of polyubiquitinated substrates. Mediates the interaction with TRIM55. Both the UBA and PB1 domains are necessary and sufficient for the localization into the ubiquitin-containing inclusion bodies.
The PB1 domain mediates homooligomerization and interactions with FHOD3, MAP2K5, NBR1, PRKCI, PRKCZ and WDR81. Both the PB1 and UBA domains are necessary and sufficient for the localization into the ubiquitin-containing inclusion bodies.
The ZZ-type zinc finger mediates the interaction with RIPK1.
The LIR (LC3-interacting region) motif mediates the interaction with ATG8 family proteins.
Research Fields
· Cellular Processes > Cell growth and death > Necroptosis. (View pathway)
· Cellular Processes > Cell growth and death > Cellular senescence. (View pathway)
· Organismal Systems > Development > Osteoclast differentiation. (View pathway)
References
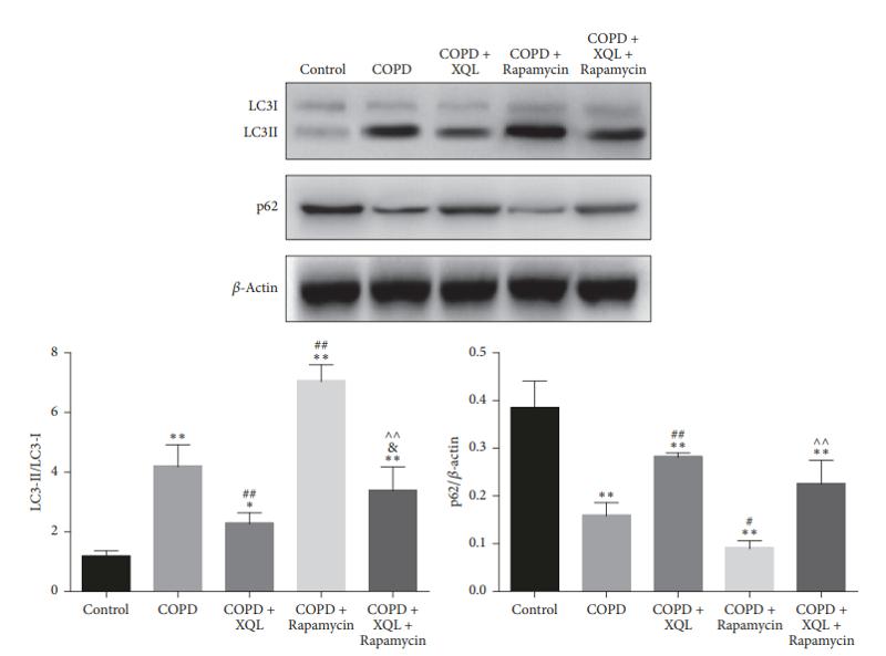
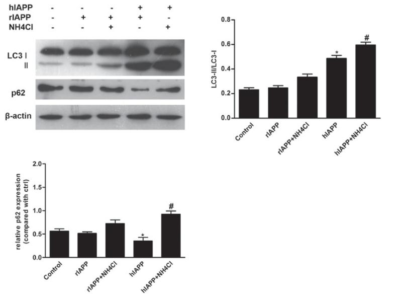
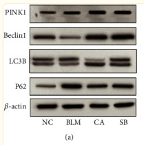
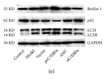
Application: WB Species: human Sample: A549 cells
Application: WB Species: mice Sample: bone marrow mesenchymal stem (BMSCs)
Application: WB Species: human Sample: MDA-MB-231 cells
Application: WB Species: Human Sample: MDA-MB-231 cells
Application: WB Species: rat Sample: PC12 cells
Restrictive clause
Affinity Biosciences tests all products strictly. Citations are provided as a resource for additional applications that have not been validated by Affinity Biosciences. Please choose the appropriate format for each application and consult Materials and Methods sections for additional details about the use of any product in these publications.
For Research Use Only.
Not for use in diagnostic or therapeutic procedures. Not for resale. Not for distribution without written consent. Affinity Biosciences will not be held responsible for patent infringement or other violations that may occur with the use of our products. Affinity Biosciences, Affinity Biosciences Logo and all other trademarks are the property of Affinity Biosciences LTD.