MMP2 Antibody - #AF5330

Product: | MMP2 Antibody |
Catalog: | AF5330 |
Description: | Rabbit polyclonal antibody to MMP2 |
Application: | WB IHC IF/ICC |
Cited expt.: | WB, IHC, IF/ICC |
Reactivity: | Human, Mouse, Rat, Monkey |
Prediction: | Pig, Bovine, Horse, Sheep, Rabbit, Dog |
Mol.Wt.: | 74 kDa; 74kD(Calculated). |
Uniprot: | P08253 |
RRID: | AB_2837815 |
Related Downloads
Protocols
Product Info
*The optimal dilutions should be determined by the end user.
*Tips:
WB: For western blot detection of denatured protein samples. IHC: For immunohistochemical detection of paraffin sections (IHC-p) or frozen sections (IHC-f) of tissue samples. IF/ICC: For immunofluorescence detection of cell samples. ELISA(peptide): For ELISA detection of antigenic peptide.
Cite Format: Affinity Biosciences Cat# AF5330, RRID:AB_2837815.
Fold/Unfold
72 kDa gelatinase; 72kD type IV collagenase; CLG 4; CLG 4A; CLG4; CLG4A; Collagenase Type 4 alpha; Collagenase type IV A; Gelatinase A; Gelatinase alpha; Gelatinase neutrophil; Matrix metallopeptidase 2 gelatinase A 72kDa gelatinase 72kDa type IV collagenase; Matrix metalloproteinase 2 (gelatinase A, 72kDa gelatinase, 72kDa type IV collagenase); Matrix Metalloproteinase 2; Matrix metalloproteinase II; Matrix metalloproteinase-2; MMP 2; MMP II; MMP-2; MMP2; MMP2_HUMAN; MONA; Neutrophil gelatinase; PEX; TBE 1; TBE-1;
Immunogens
A synthesized peptide derived from human MMP2, corresponding to a region within C-terminal amino acids.
Produced by normal skin fibroblasts. PEX is expressed in a number of tumors including gliomas, breast and prostate.
- P08253 MMP2_HUMAN:
- Protein BLAST With
- NCBI/
- ExPASy/
- Uniprot
MEALMARGALTGPLRALCLLGCLLSHAAAAPSPIIKFPGDVAPKTDKELAVQYLNTFYGCPKESCNLFVLKDTLKKMQKFFGLPQTGDLDQNTIETMRKPRCGNPDVANYNFFPRKPKWDKNQITYRIIGYTPDLDPETVDDAFARAFQVWSDVTPLRFSRIHDGEADIMINFGRWEHGDGYPFDGKDGLLAHAFAPGTGVGGDSHFDDDELWTLGEGQVVRVKYGNADGEYCKFPFLFNGKEYNSCTDTGRSDGFLWCSTTYNFEKDGKYGFCPHEALFTMGGNAEGQPCKFPFRFQGTSYDSCTTEGRTDGYRWCGTTEDYDRDKKYGFCPETAMSTVGGNSEGAPCVFPFTFLGNKYESCTSAGRSDGKMWCATTANYDDDRKWGFCPDQGYSLFLVAAHEFGHAMGLEHSQDPGALMAPIYTYTKNFRLSQDDIKGIQELYGASPDIDLGTGPTPTLGPVTPEICKQDIVFDGIAQIRGEIFFFKDRFIWRTVTPRDKPMGPLLVATFWPELPEKIDAVYEAPQEEKAVFFAGNEYWIYSASTLERGYPKPLTSLGLPPDVQRVDAAFNWSKNKKTYIFAGDKFWRYNEVKKKMDPGFPKLIADAWNAIPDNLDAVVDLQGGGHSYFFKGAYYLKLENQSLKSVKFGSIKSDWLGC
Predictions
Score>80(red) has high confidence and is suggested to be used for WB detection. *The prediction model is mainly based on the alignment of immunogen sequences, the results are for reference only, not as the basis of quality assurance.
High(score>80) Medium(80>score>50) Low(score<50) No confidence
Research Backgrounds
Ubiquitinous metalloproteinase that is involved in diverse functions such as remodeling of the vasculature, angiogenesis, tissue repair, tumor invasion, inflammation, and atherosclerotic plaque rupture. As well as degrading extracellular matrix proteins, can also act on several nonmatrix proteins such as big endothelial 1 and beta-type CGRP promoting vasoconstriction. Also cleaves KISS at a Gly-|-Leu bond. Appears to have a role in myocardial cell death pathways. Contributes to myocardial oxidative stress by regulating the activity of GSK3beta. Cleaves GSK3beta in vitro. Involved in the formation of the fibrovascular tissues in association with MMP14.
PEX, the C-terminal non-catalytic fragment of MMP2, posseses anti-angiogenic and anti-tumor properties and inhibits cell migration and cell adhesion to FGF2 and vitronectin. Ligand for integrinv/beta3 on the surface of blood vessels.
Mediates the proteolysis of CHUK/IKKA and initiates a primary innate immune response by inducing mitochondrial-nuclear stress signaling with activation of the pro-inflammatory NF-kappaB, NFAT and IRF transcriptional pathways.
Phosphorylation on multiple sites modulates enzymatic activity. Phosphorylated by PKC in vitro.
The propeptide is processed by MMP14 (MT-MMP1) and MMP16 (MT-MMP3). Autocatalytic cleavage in the C-terminal produces the anti-angiogenic peptide, PEX. This processing appears to be facilitated by binding integrinv/beta3.
Secreted>Extracellular space>Extracellular matrix. Membrane. Nucleus.
Note: Colocalizes with integrin alphaV/beta3 at the membrane surface in angiogenic blood vessels and melanomas. Found in mitochondria, along microfibrils, and in nuclei of cardiomyocytes.
Cytoplasm. Mitochondrion.
Produced by normal skin fibroblasts. PEX is expressed in a number of tumors including gliomas, breast and prostate.
The conserved cysteine present in the cysteine-switch motif binds the catalytic zinc ion, thus inhibiting the enzyme. The dissociation of the cysteine from the zinc ion upon the activation-peptide release activates the enzyme.
Belongs to the peptidase M10A family.
Research Fields
· Human Diseases > Drug resistance: Antineoplastic > Endocrine resistance.
· Human Diseases > Cancers: Overview > Pathways in cancer. (View pathway)
· Human Diseases > Cancers: Overview > Proteoglycans in cancer.
· Human Diseases > Cancers: Specific types > Bladder cancer. (View pathway)
· Organismal Systems > Immune system > Leukocyte transendothelial migration. (View pathway)
· Organismal Systems > Endocrine system > Estrogen signaling pathway. (View pathway)
· Organismal Systems > Endocrine system > Relaxin signaling pathway.
References
Application: WB Species: human Sample:
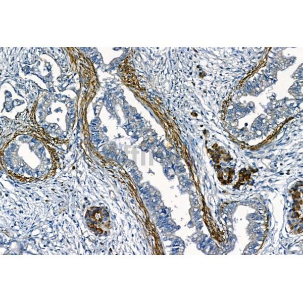
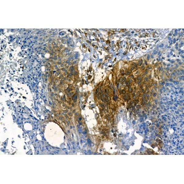
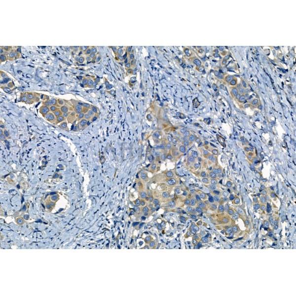
Application: IHC Species: human Sample:
Application: WB Species: Mouse Sample: aortic tissues
Application: IF/ICC Species: Human Sample: HK-2 cells
Application: WB Species: mouse Sample: NQO1 cells
Application: WB Species: mouse Sample: NQO1 cells
Application: WB Species: mouse Sample: tumors
Application: IF/ICC Species: mouse Sample: 5–8F cells
Application: WB Species: human Sample: PLC-PRF-5 cells
Application: IHC Species: human Sample: tumor
Application: WB Species: Mouse Sample: GC cells
Application: WB Species: human Sample: MDA-MB-231 and BT-549 cells
Restrictive clause
Affinity Biosciences tests all products strictly. Citations are provided as a resource for additional applications that have not been validated by Affinity Biosciences. Please choose the appropriate format for each application and consult Materials and Methods sections for additional details about the use of any product in these publications.
For Research Use Only.
Not for use in diagnostic or therapeutic procedures. Not for resale. Not for distribution without written consent. Affinity Biosciences will not be held responsible for patent infringement or other violations that may occur with the use of our products. Affinity Biosciences, Affinity Biosciences Logo and all other trademarks are the property of Affinity Biosciences LTD.