ACE1 Antibody - #AF5197

Product: | ACE1 Antibody |
Catalog: | AF5197 |
Description: | Rabbit polyclonal antibody to ACE1 |
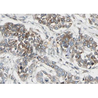
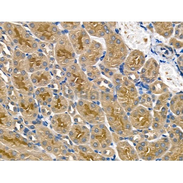
Application: | WB IHC IF/ICC |
Cited expt.: | WB |
Reactivity: | Human, Mouse, Rat |
Prediction: | Pig, Zebrafish, Horse, Sheep, Rabbit, Dog, Chicken |
Mol.Wt.: | 149 kDa; 150kD(Calculated). |
Uniprot: | P12821 |
RRID: | AB_2837683 |
Related Downloads
Protocols
Product Info
*The optimal dilutions should be determined by the end user.
*Tips:
WB: For western blot detection of denatured protein samples. IHC: For immunohistochemical detection of paraffin sections (IHC-p) or frozen sections (IHC-f) of tissue samples. IF/ICC: For immunofluorescence detection of cell samples. ELISA(peptide): For ELISA detection of antigenic peptide.
Cite Format: Affinity Biosciences Cat# AF5197, RRID:AB_2837683.
Fold/Unfold
ACE 1; ACE; ACE T; ACE_HUMAN; ACE1; Angiotensin converting enzyme somatic isoform; Angiotensin converting enzyme testis specific isoform; Angiotensin I converting enzyme 1; Angiotensin I converting enzyme; Angiotensin I converting enzyme peptidyl dipeptidase A 1; angiotensin I converting enzyme peptidyl-dipeptidase A 1 transcript; Angiotensin-converting enzyme; Carboxycathepsin; CD 143; CD143; CD143 antigen; DCP 1; DCP; DCP1; Dipeptidyl carboxypeptidase 1; Dipeptidyl carboxypeptidase I; Kininase II; MGC26566; MVCD3; Peptidase P; Peptidyl dipeptidase A; soluble form; Testicular ECA;
Immunogens
A synthesized peptide derived from human ACE1, corresponding to a region within the internal amino acids.
Ubiquitously expressed, with highest levels in lung, kidney, heart, gastrointestinal system and prostate. Isoform Testis-specific is expressed in spermatocytes and adult testis.
- P12821 ACE_HUMAN:
- Protein BLAST With
- NCBI/
- ExPASy/
- Uniprot
MGAASGRRGPGLLLPLPLLLLLPPQPALALDPGLQPGNFSADEAGAQLFAQSYNSSAEQVLFQSVAASWAHDTNITAENARRQEEAALLSQEFAEAWGQKAKELYEPIWQNFTDPQLRRIIGAVRTLGSANLPLAKRQQYNALLSNMSRIYSTAKVCLPNKTATCWSLDPDLTNILASSRSYAMLLFAWEGWHNAAGIPLKPLYEDFTALSNEAYKQDGFTDTGAYWRSWYNSPTFEDDLEHLYQQLEPLYLNLHAFVRRALHRRYGDRYINLRGPIPAHLLGDMWAQSWENIYDMVVPFPDKPNLDVTSTMLQQGWNATHMFRVAEEFFTSLELSPMPPEFWEGSMLEKPADGREVVCHASAWDFYNRKDFRIKQCTRVTMDQLSTVHHEMGHIQYYLQYKDLPVSLRRGANPGFHEAIGDVLALSVSTPEHLHKIGLLDRVTNDTESDINYLLKMALEKIAFLPFGYLVDQWRWGVFSGRTPPSRYNFDWWYLRTKYQGICPPVTRNETHFDAGAKFHVPNVTPYIRYFVSFVLQFQFHEALCKEAGYEGPLHQCDIYRSTKAGAKLRKVLQAGSSRPWQEVLKDMVGLDALDAQPLLKYFQPVTQWLQEQNQQNGEVLGWPEYQWHPPLPDNYPEGIDLVTDEAEASKFVEEYDRTSQVVWNEYAEANWNYNTNITTETSKILLQKNMQIANHTLKYGTQARKFDVNQLQNTTIKRIIKKVQDLERAALPAQELEEYNKILLDMETTYSVATVCHPNGSCLQLEPDLTNVMATSRKYEDLLWAWEGWRDKAGRAILQFYPKYVELINQAARLNGYVDAGDSWRSMYETPSLEQDLERLFQELQPLYLNLHAYVRRALHRHYGAQHINLEGPIPAHLLGNMWAQTWSNIYDLVVPFPSAPSMDTTEAMLKQGWTPRRMFKEADDFFTSLGLLPVPPEFWNKSMLEKPTDGREVVCHASAWDFYNGKDFRIKQCTTVNLEDLVVAHHEMGHIQYFMQYKDLPVALREGANPGFHEAIGDVLALSVSTPKHLHSLNLLSSEGGSDEHDINFLMKMALDKIAFIPFSYLVDQWRWRVFDGSITKENYNQEWWSLRLKYQGLCPPVPRTQGDFDPGAKFHIPSSVPYIRYFVSFIIQFQFHEALCQAAGHTGPLHKCDIYQSKEAGQRLATAMKLGFSRPWPEAMQLITGQPNMSASAMLSYFKPLLDWLRTENELHGEKLGWPQYNWTPNSARSEGPLPDSGRVSFLGLDLDAQQARVGQWLLLFLGIALLVATLGLSQRLFSIRHRSLHRHSHGPQFGSEVELRHS
Predictions
Score>80(red) has high confidence and is suggested to be used for WB detection. *The prediction model is mainly based on the alignment of immunogen sequences, the results are for reference only, not as the basis of quality assurance.
High(score>80) Medium(80>score>50) Low(score<50) No confidence
Research Backgrounds
Converts angiotensin I to angiotensin II by release of the terminal His-Leu, this results in an increase of the vasoconstrictor activity of angiotensin. Also able to inactivate bradykinin, a potent vasodilator. Has also a glycosidase activity which releases GPI-anchored proteins from the membrane by cleaving the mannose linkage in the GPI moiety.
Phosphorylated by CK2 on Ser-1299; which allows membrane retention.
Secreted.
Cell membrane>Single-pass type I membrane protein. Cytoplasm.
Note: Detected in both cell membrane and cytoplasm in neurons.
Ubiquitously expressed, with highest levels in lung, kidney, heart, gastrointestinal system and prostate. Isoform Testis-specific is expressed in spermatocytes and adult testis.
Belongs to the peptidase M2 family.
Research Fields
· Human Diseases > Infectious diseases: Parasitic > Chagas disease (American trypanosomiasis).
· Human Diseases > Cardiovascular diseases > Hypertrophic cardiomyopathy (HCM).
· Organismal Systems > Endocrine system > Renin-angiotensin system. (View pathway)
· Organismal Systems > Endocrine system > Renin secretion.
References
Application: WB Species: Mouse Sample: lung tissue
Restrictive clause
Affinity Biosciences tests all products strictly. Citations are provided as a resource for additional applications that have not been validated by Affinity Biosciences. Please choose the appropriate format for each application and consult Materials and Methods sections for additional details about the use of any product in these publications.
For Research Use Only.
Not for use in diagnostic or therapeutic procedures. Not for resale. Not for distribution without written consent. Affinity Biosciences will not be held responsible for patent infringement or other violations that may occur with the use of our products. Affinity Biosciences, Affinity Biosciences Logo and all other trademarks are the property of Affinity Biosciences LTD.