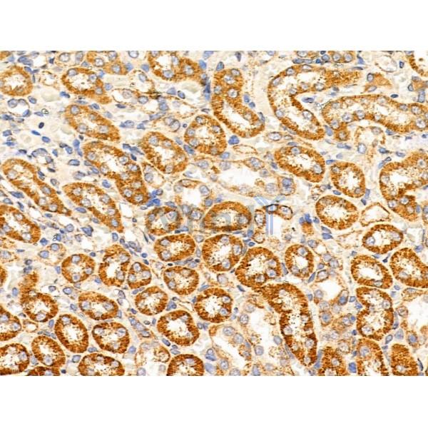
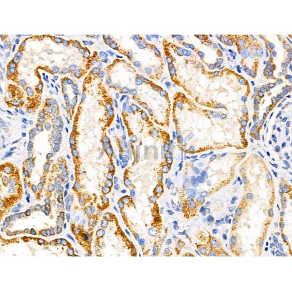
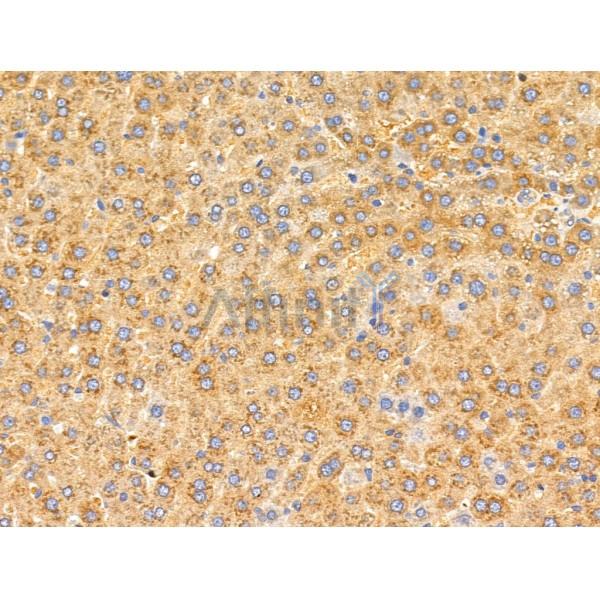
Product: MRPL11 Antibody
Catalog: DF3656
Description: Rabbit polyclonal antibody to MRPL11
Application: WB IHC IF/ICC
Reactivity: Human, Mouse, Rat
Prediction: Bovine, Horse, Sheep, Rabbit, Dog
Mol.Wt.: 21 KD; 21kD(Calculated).
Uniprot: Q9Y3B7
RRID: AB_2836028

View similar products>>

   Size Price Inventory
 100ul $280 In stock
 200ul $350 In stock

Lead Time: Same day delivery

For pricing and ordering contact:
Local distributors

Product Info

Source:
Rabbit
Application:
WB 1:500-1:1000, IHC 1:50-1:200, IF/ICC 1:100-1:500
*The optimal dilutions should be determined by the end user. For optimal experimental results, antibody reuse is not recommended.
*Tips:

WB: For western blot detection of denatured protein samples. IHC: For immunohistochemical detection of paraffin sections (IHC-p) or frozen sections (IHC-f) of tissue samples. IF/ICC: For immunofluorescence detection of cell samples. ELISA(peptide): For ELISA detection of antigenic peptide.

Reactivity:
Human,Mouse,Rat
Prediction:
Bovine(89%), Horse(89%), Sheep(89%), Rabbit(89%), Dog(89%)
Clonality:
Polyclonal
Specificity:
MRPL11 Antibody detects endogenous levels of total MRPL11.
RRID:
AB_2836028
Cite Format: Affinity Biosciences Cat# DF3656, RRID:AB_2836028.
Conjugate:
Unconjugated.
Purification:
The antiserum was purified by peptide affinity chromatography using SulfoLink™ Coupling Resin (Thermo Fisher Scientific).
Storage:
Rabbit IgG in phosphate buffered saline , pH 7.4, 150mM NaCl, 0.02% sodium azide and 50% glycerol. Store at -20 °C. Stable for 12 months from date of receipt.
Alias:

Fold/Unfold

39S ribosomal protein L11, mitochondrial; CGI 113; CGI113; L11mt; MRP L11;

Immunogens

Immunogen:

A synthesized peptide derived from human MRPL11, corresponding to a region within the internal amino acids.

Uniprot:
Gene(ID):
Sequence:
MSKLGRAARGLRKPEVGGVIRAIVRAGLAMPGPPLGPVLGQRGVSINQFCKEFNERTKDIKEGIPLPTKILVKPDRTFEIKIGQPTVSYFLKAAAGIEKGARQTGKEVAGLVTLKHVYEIARIKAQDEAFALQDVPLSSVVRSIIGSARSLGIRVVKDLSSEELAAFQKERAIFLAAQKEADLAAQEEAAKK

Predictions

Predictions:

Score>80(red) has high confidence and is suggested to be used for WB detection. *The prediction model is mainly based on the alignment of immunogen sequences, the results are for reference only, not as the basis of quality assurance.

Species
Results
Score
Horse
89
Bovine
89
Sheep
89
Dog
89
Rabbit
89
Zebrafish
78
Xenopus
56
Pig
0
Chicken
0
Model Confidence:
High(score>80) Medium(80>score>50) Low(score<50) No confidence

Research Backgrounds

Subcellular Location:

Mitochondrion.

Extracellular region or secreted Cytosol Plasma membrane Cytoskeleton Lysosome Endosome Peroxisome ER Golgi apparatus Nucleus Mitochondrion Manual annotation Automatic computational assertionSubcellular location
Family&Domains:

Belongs to the universal ribosomal protein uL11 family.

Research Fields

· Genetic Information Processing > Translation > Ribosome.

Restrictive clause

 

Affinity Biosciences tests all products strictly. Citations are provided as a resource for additional applications that have not been validated by Affinity Biosciences. Please choose the appropriate format for each application and consult Materials and Methods sections for additional details about the use of any product in these publications.

For Research Use Only.
Not for use in diagnostic or therapeutic procedures. Not for resale. Not for distribution without written consent. Affinity Biosciences will not be held responsible for patent infringement or other violations that may occur with the use of our products. Affinity Biosciences, Affinity Biosciences Logo and all other trademarks are the property of Affinity Biosciences LTD.