Product: Phospho-TFEB (Ser211) Antibody
Catalog: AF3708
Description: Rabbit polyclonal antibody to Phospho-TFEB (Ser211)
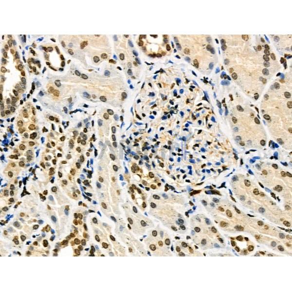
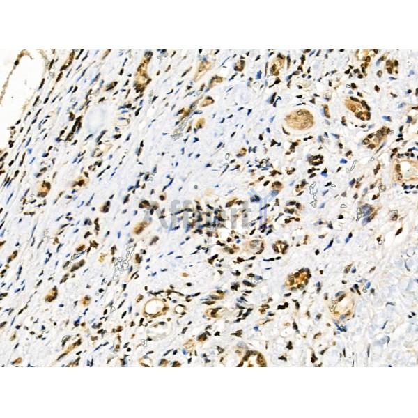
Application: WB IHC IF/ICC
Cited expt.: WB
Reactivity: Human, Mouse, Rat
Mol.Wt.: 55~70kDa; 53kD(Calculated).
Uniprot: P19484
RRID: AB_2847022

View similar products>>

   Size Price Inventory
 100ul $350 In stock
 200ul $450 In stock

Lead Time: Same day delivery

For pricing and ordering contact:
Local distributors

Product Info

Source:
Rabbit
Application:
WB 1:500-1:2000, IHC 1:50-1:200, IF/ICC 1:100-1:500
*The optimal dilutions should be determined by the end user. For optimal experimental results, antibody reuse is not recommended.
*Tips:

WB: For western blot detection of denatured protein samples. IHC: For immunohistochemical detection of paraffin sections (IHC-p) or frozen sections (IHC-f) of tissue samples. IF/ICC: For immunofluorescence detection of cell samples. ELISA(peptide): For ELISA detection of antigenic peptide.

Reactivity:
Human,Mouse,Rat
Clonality:
Polyclonal
Specificity:
Phospho-TFEB (Ser211) Antibody detects endogenous levels of TFEB only when phosphorylated at Ser211.
RRID:
AB_2847022
Cite Format: Affinity Biosciences Cat# AF3708, RRID:AB_2847022.
Conjugate:
Unconjugated.
Purification:
The antibody is from purified rabbit serum by affinity purification via sequential chromatography on phospho-peptide and non-phospho-peptide affinity columns.
Storage:
Rabbit IgG in phosphate buffered saline , pH 7.4, 150mM NaCl, 0.02% sodium azide and 50% glycerol. Store at -20 °C. Stable for 12 months from date of receipt.
Alias:

Fold/Unfold

Alpha TFEB; AlphaTFEB; bHLHe35; Class E basic helix-loop-helix protein 35; T cell transcription factor EB; TCFEB; TFEB; TFEB_HUMAN; Transcription factor EB;

Immunogens

Immunogen:

A synthesized peptide derived from human TFEB around the phosphorylation site of Ser211.

Uniprot:
Gene(ID):
Sequence:
MASRIGLRMQLMREQAQQEEQRERMQQQAVMHYMQQQQQQQQQQLGGPPTPAINTPVHFQSPPPVPGEVLKVQSYLENPTSYHLQQSQHQKVREYLSETYGNKFAAHISPAQGSPKPPPAASPGVRAGHVLSSSAGNSAPNSPMAMLHIGSNPERELDDVIDNIMRLDDVLGYINPEMQMPNTLPLSSSHLNVYSSDPQVTASLVGVTSSSCPADLTQKRELTDAESRALAKERQKKDNHNLIERRRRFNINDRIKELGMLIPKANDLDVRWNKGTILKASVDYIRRMQKDLQKSRELENHSRRLEMTNKQLWLRIQELEMQARVHGLPTTSPSGMNMAELAQQVVKQELPSEEGPGEALMLGAEVPDPEPLPALPPQAPLPLPTQPPSPFHHLDFSHSLSFGGREDEGPPGYPEPLAPGHGSPFPSLSKKDLDLMLLDDSLLPLASDPLLSTMSPEASKASSRRSSFSMEEGDVL

Research Backgrounds

Function:

Transcription factor that specifically recognizes and binds E-box sequences (5'-CANNTG-3'). Efficient DNA-binding requires dimerization with itself or with another MiT/TFE family member such as TFE3 or MITF. In association with TFE3, activates the expression of CD40L in T-cells, thereby playing a role in T-cell-dependent antibody responses in activated CD4(+) T-cells and thymus-dependent humoral immunity. Specifically recognizes and binds the CLEAR-box sequence (5'-GTCACGTGAC-3') present in the regulatory region of many lysosomal genes, leading to activate their expression. It thereby plays a central role in expression of lysosomal genes. Acts as a positive regulator of autophagy by promoting expression of genes involved in autophagy. Specifically recognizes the gamma-E3 box, a subset of E-boxes, present in the heavy-chain immunoglobulin enhancer. Plays a role in the signal transduction processes required for normal vascularization of the placenta. Regulates lysosomal positioning in response to nutrient deprivation by promoting the expression of PIP4P1.

PTMs:

Sumoylated; does not affect dimerization with MITF.

Subcellular Location:

Cytoplasm. Nucleus.
Note: Mainly present in the cytoplasm (PubMed:23434374). Under aberrant lysosomal storage conditions, it translocates from the cytoplasm to the nucleus (PubMed:23434374). The translocation to the nucleus is regulated by ATP13A2 (PubMed:23434374, PubMed:27278822). In macrophages, translocates into the nucleus upon live S.enterica infection (PubMed:27184844).

Extracellular region or secreted Cytosol Plasma membrane Cytoskeleton Lysosome Endosome Peroxisome ER Golgi apparatus Nucleus Mitochondrion Manual annotation Automatic computational assertionSubcellular location
Family&Domains:

The leucin zipper region is essential for homo- or heterodimerization and high-affinity DNA binding. DNA binding is mediated by the basic region.

Belongs to the MiT/TFE family.

References

1). Cadmium targeting transcription factor EB to inhibit autophagy-lysosome function contributes to acute kidney injury. Journal of advanced research, 2024 (PubMed: 39033876) [IF=11.4]

Application: WB    Species: Rat    Sample:

Fig. 4. Mtorc1 activation results in tfeb phosphorylation and consequently inhibited tfeb nuclear translocation during Cd exposure. (A) Renal tissues were collected to analyze the protein levels of mTOR, p-mTOR (S2448), p-TFEB (S211) and p-TFEB (S142). Representative immunoblot images were shown in left panels and corresponding densitometric levels (mean ± SEM, n = 3) were shown in right panels. (B) NRK-52E cells were treated with a range of Cd doses for 12 h to analyze the protein levels of mTOR, p-mTOR (S2448), p-TFEB (S211) and p-TFEB (S142). Representative immunoblot images were shown in left panels and corresponding densitometric levels (mean ± SEM, n = 3) were shown in right panels. (C) NRK-52E cells were transfected with control siRNA (siRNA-NC) and mTORC1 siRNA (siRNA-mTORC1). After mTORC1 knockdown, NRK-52E cells were treated with 10 μM Cd for 12 h to analyze the protein levels of mTOR, p-mTOR (S2448), TFEB, p-TFEB (S211) and p-TFEB (S142). Representative immunoblot images were shown in left panels and corresponding densitometric levels (mean ± SEM, n = 3) were shown in right panels. (D) After mTORC1 knockdown, NRK-52E cells were treated with 10 μM Cd for 12 h to analyze the nuclear protein levels of TFEB. Representative immunoblot images were shown in left panels and corresponding densitometric levels (mean ± SEM, n = 3) were shown in right panels. *p < 0.05; **p < 0.01.

2). Cyclic helix B peptide alleviates proinflammatory cell death and improves functional recovery after traumatic spinal cord injury. Redox Biology, 2023 (PubMed: 37290302) [IF=10.7]

3). FGF21 augments autophagy in random-pattern skin flaps via AMPK signaling pathways and improves tissue survival. Cell Death & Disease, 2019 (PubMed: 31740658) [IF=8.1]

Application: WB    Species: Rat    Sample: Fap tissue

Fig. 7 FGF21 boosted autophagy via enhancing TFEB activity. On the 7th day after operation, samples were harvested from the Control and FGF21 groups to evaluate the TFEB level. Further, transfection of the AVV TFEB shRNA was performed to inhibit the expression of TFEB in the cells, and then the expression of relative proteins was compared in the FGF21, Scramble and TFEB shRNA group. a Immunofluorescence exhibiting more expression of TFEB in the FGF21 group than that in the Control group (scan bar, 15 μm). b Histogram showing the percentage of TFEB translocation into nucleus in dermal layer. c Western blotting showing levels of P-TFEB (Ser221) and nuclear TFEB. d Histogram showing quantificational comparison of cytoplasmic and nuclear TFEB expressions between the Control and FGF21 groups. e Immunofluorescence exhibiting the expression of LC3II in the FGF21, Scramble and TFEB shRNA groups. f Quantification of percentage of positive cells with LC3II labeled autophagosomes in dermal layer. g Western blotting showing levels of P-TFEB (Ser221) and nuclear TFEB in the FGF21, Scramble and TFEB shRNA groups. h Quantification of cytoplasmic and nuclear TFEB expressions detected by western blotting. i Western blotting showing levels of autophagic proteins (p62, Beclin1, VPS34, CTSD, and LC3II) in the FGF21, Scramble and TFEB shRNA groups, which was corrected by GAPDH as internal control. j Quantification of expression of autophagy-related proteins (p62, Beclin1, VPS34, CTSD, and LC3II) in western blotting. Significance: *p < 0.05 and **p < 0.01 vs the Control group. #p < 0.05 and ##p < 0. 01 vs the Scramble group. Data were expressed as means ± SEM (n = 6 per group).

4). mTOR deletion ameliorates CD4+ T cell apoptosis during sepsis by improving autophagosome-lysosome fusion. APOPTOSIS, 2022 (PubMed: 35435531) [IF=6.1]

Application: WB    Species: mouse    Sample: CD4+T cells

Fig. 3| Transcription factor EB (TFEB) phosphorylation and SNARE expression in septic mice. (A, a–e) Protein levels of phospho (p)-TFEB, syntaxin 17 (STX17), vesicle associated membrane protein 8 (VAMP8), and synaptosomal-associated protein 29 (SNAP29) in CD4+T cells were quantifed by western blotting in wild-type (WT)sham-treated mice, WT CLP mice, mammalian target of rapamycin(mTOR) knockout via Cre expression under the control of lymphocyte-specifc protein tyrosine kinase (Lck) (Lck-mTOR) CLP mice,and tuberous sclerosis complex 1 (TSC1) knockout (Lck-TSC1) CLP mice.

5). Ginsenoside-Rh2 Promotes Functional Recovery after Spinal Cord Injury by Enhancing TFEB-Mediated Autophagy. Journal of agricultural and food chemistry, 2024 (PubMed: 38907713) [IF=5.7]

6). Astragaloside I Promotes Lipophagy and Mitochondrial Biogenesis to Improve Hyperlipidemia by Regulating Akt/mTOR/TFEB Pathway. Journal of agricultural and food chemistry, 2024 (PubMed: 39226078) [IF=5.7]

7). Therapeutic effects of total saikosaponins from Radix bupleuri against Alzheimer’s disease. Frontiers in Pharmacology, 2022 (PubMed: 35935875) [IF=5.6]

Application: WB    Species: Mice    Sample: PC12 cells

FIGURE 6 TS treatment promoted autophagy and clear p-tau. (A) The effect of TS on p-tau (Ser 396), NDP52, p62 and LC3-II and Beclin-1 proteins in the Aβ-induced PC12 cells were detected by Western blot. (B) Quantitative analysis of the relative expression concertation of p-tau (Ser 396) protein in each group (# p = 0.0409, *p = 0.0130, **p = 0.0029). (C) Quantitative analysis of the relative expression concertation of NDP52 protein in each group (# p = 0.0113, **p = 0.0057). (D) Quantitative analysis of the gray value of p62 protein bands in each group (## p = 0.0093, *p = 0.0312, **p = 0.0084, **p = 0.0093, **p = 0.0047). (E) Quantitative analysis of the relative expression concertation of LC3-II protein in each group (#### p < 0.0001, **p = 0.0053, **p = 0.0037). (F) Quantitative analysis of the relative expression concertation of Beclin-1 protein in each group (### p = 0.0002, *p = 0.0356). (G) Quantitative analysis of the relative expression level of mTOR protein in each group (# p = 0.0450, *p = 0.0359, **p = 0.0068). (H) Quantitative analysis of the relative expression level of p-TFEB protein in each group (# p = 0.0435, *p = 0.0129, **p = 0.0099). #Compared with WT group; *Compared with model group. Data are presented as mean ± SEM (n = 3).

Restrictive clause

 

Affinity Biosciences tests all products strictly. Citations are provided as a resource for additional applications that have not been validated by Affinity Biosciences. Please choose the appropriate format for each application and consult Materials and Methods sections for additional details about the use of any product in these publications.

For Research Use Only.
Not for use in diagnostic or therapeutic procedures. Not for resale. Not for distribution without written consent. Affinity Biosciences will not be held responsible for patent infringement or other violations that may occur with the use of our products. Affinity Biosciences, Affinity Biosciences Logo and all other trademarks are the property of Affinity Biosciences LTD.