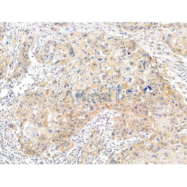
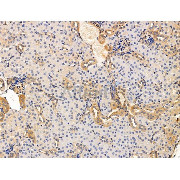
KGF Antibody - #DF13342

Product: | KGF Antibody |
Catalog: | DF13342 |
Description: | Rabbit polyclonal antibody to KGF |
Application: | WB IHC IF/ICC |
Reactivity: | Human, Mouse, Rat |
Prediction: | Pig, Zebrafish, Bovine, Horse, Sheep, Rabbit, Dog, Chicken, Xenopus |
Mol.Wt.: | 22kDa; 23kD(Calculated). |
Uniprot: | P21781 |
RRID: | AB_2846361 |
Related Downloads
Protocols
Product Info
*The optimal dilutions should be determined by the end user.
*Tips:
WB: For western blot detection of denatured protein samples. IHC: For immunohistochemical detection of paraffin sections (IHC-p) or frozen sections (IHC-f) of tissue samples. IF/ICC: For immunofluorescence detection of cell samples. ELISA(peptide): For ELISA detection of antigenic peptide.
Cite Format: Affinity Biosciences Cat# DF13342, RRID:AB_2846361.
Fold/Unfold
FGF 7; FGF-7; Fgf7; FGF7_HUMAN; Fibroblast growth factor 7; HBGF 7; HBGF-7; HBGF7; Heparin binding growth factor 7; Heparin-binding growth factor 7; Keratinocyte growth factor; KGF;
Immunogens
A synthesized peptide derived from human KGF, corresponding to a region within the internal amino acids.
- P21781 FGF7_HUMAN:
- Protein BLAST With
- NCBI/
- ExPASy/
- Uniprot
MHKWILTWILPTLLYRSCFHIICLVGTISLACNDMTPEQMATNVNCSSPERHTRSYDYMEGGDIRVRRLFCRTQWYLRIDKRGKVKGTQEMKNNYNIMEIRTVAVGIVAIKGVESEFYLAMNKEGKLYAKKECNEDCNFKELILENHYNTYASAKWTHNGGEMFVALNQKGIPVRGKKTKKEQKTAHFLPMAIT
Predictions
Score>80(red) has high confidence and is suggested to be used for WB detection. *The prediction model is mainly based on the alignment of immunogen sequences, the results are for reference only, not as the basis of quality assurance.
High(score>80) Medium(80>score>50) Low(score<50) No confidence
Research Backgrounds
Plays an important role in the regulation of embryonic development, cell proliferation and cell differentiation. Required for normal branching morphogenesis. Growth factor active on keratinocytes. Possible major paracrine effector of normal epithelial cell proliferation.
Secreted.
Epithelial cell.
Belongs to the heparin-binding growth factors family.
Research Fields
· Cellular Processes > Cell motility > Regulation of actin cytoskeleton. (View pathway)
· Environmental Information Processing > Signal transduction > MAPK signaling pathway. (View pathway)
· Environmental Information Processing > Signal transduction > Ras signaling pathway. (View pathway)
· Environmental Information Processing > Signal transduction > Rap1 signaling pathway. (View pathway)
· Environmental Information Processing > Signal transduction > PI3K-Akt signaling pathway. (View pathway)
· Human Diseases > Cancers: Overview > Pathways in cancer. (View pathway)
· Human Diseases > Cancers: Specific types > Melanoma. (View pathway)
· Human Diseases > Cancers: Specific types > Breast cancer. (View pathway)
· Human Diseases > Cancers: Specific types > Gastric cancer. (View pathway)
References
Restrictive clause
Affinity Biosciences tests all products strictly. Citations are provided as a resource for additional applications that have not been validated by Affinity Biosciences. Please choose the appropriate format for each application and consult Materials and Methods sections for additional details about the use of any product in these publications.
For Research Use Only.
Not for use in diagnostic or therapeutic procedures. Not for resale. Not for distribution without written consent. Affinity Biosciences will not be held responsible for patent infringement or other violations that may occur with the use of our products. Affinity Biosciences, Affinity Biosciences Logo and all other trademarks are the property of Affinity Biosciences LTD.