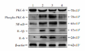
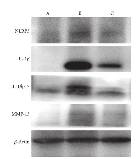
Cleaved-IL-1 beta (Asp116) Antibody - #AF4006

Product: | Cleaved-IL-1 beta (Asp116) Antibody |
Catalog: | AF4006 |
Description: | Rabbit polyclonal antibody to Cleaved-IL-1 beta (Asp116) |
Application: | WB IHC IF/ICC |
Cited expt.: | WB, IHC, IF/ICC |
Reactivity: | Human, Mouse, Rat, Zebrafish |
Mol.Wt.: | 17 kDa; 31kD(Calculated). |
Uniprot: | P01584 |
RRID: | AB_2801567 |
Product Info
*The optimal dilutions should be determined by the end user.
*Tips:
WB: For western blot detection of denatured protein samples. IHC: For immunohistochemical detection of paraffin sections (IHC-p) or frozen sections (IHC-f) of tissue samples. IF/ICC: For immunofluorescence detection of cell samples. ELISA(peptide): For ELISA detection of antigenic peptide.
Cite Format: Affinity Biosciences Cat# AF4006, RRID:AB_2801567.
Fold/Unfold
Catabolin; H1; IL 1; IL 1 beta; IL-1 beta; IL1 BETA; IL1B; IL1B_HUMAN; IL1F2; Interleukin 1 beta; Interleukin-1 beta; OAF; OTTHUMP00000162031; Preinterleukin 1 beta; Pro interleukin 1 beta;
Immunogens
The antiserum was produced against synthesized peptide derived from human IL1 beta.
- P01584 IL1B_HUMAN:
- Protein BLAST With
- NCBI/
- ExPASy/
- Uniprot
MAEVPELASEMMAYYSGNEDDLFFEADGPKQMKCSFQDLDLCPLDGGIQLRISDHHYSKGFRQAASVVVAMDKLRKMLVPCPQTFQENDLSTFFPFIFEEEPIFFDTWDNEAYVHDAPVRSLNCTLRDSQQKSLVMSGPYELKALHLQGQDMEQQVVFSMSFVQGEESNDKIPVALGLKEKNLYLSCVLKDDKPTLQLESVDPKNYPKKKMEKRFVFNKIEINNKLEFESAQFPNWYISTSQAENMPVFLGGTKGGQDITDFTMQFVSS
Research Backgrounds
Potent proinflammatory cytokine. Initially discovered as the major endogenous pyrogen, induces prostaglandin synthesis, neutrophil influx and activation, T-cell activation and cytokine production, B-cell activation and antibody production, and fibroblast proliferation and collagen production. Promotes Th17 differentiation of T-cells. Synergizes with IL12/interleukin-12 to induce IFNG synthesis from T-helper 1 (Th1) cells.
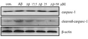
Activation of the IL1B precursor involves a CASP1-catalyzed proteolytic cleavage. Processing and secretion are temporarily associated.
Cytoplasm>Cytosol. Lysosome. Secreted>Extracellular exosome. Secreted.
Note: The precursor is cytosolic. In response to inflammasome-activating signals, such as ATP for NLRP3 inflammasome or bacterial flagellin for NLRC4 inflammasome, cleaved and secreted. IL1B lacks any known signal sequence and the pathway(s) of its secretion is(are) not yet fully understood (PubMed:24201029). On the basis of experimental results, several unconventional secretion mechanisms have been proposed. 1. Secretion via secretory lysosomes: a fraction of CASP1 and IL1B precursor may be incorporated, by a yet undefined mechanism, into secretory lysosomes that undergo Ca(2+)-dependent exocytosis with release of mature IL1B (PubMed:15192144). 2. Secretory autophagy: IL1B-containing autophagosomes may fuse with endosomes or multivesicular bodies (MVBs) and then merge with the plasma membrane releasing soluble IL1B or IL1B-containing exosomes (PubMed:24201029). However, autophagy impacts IL1B production at several levels and its role in secretion is still controversial. 3. Secretion via exosomes: ATP-activation of P2RX7 leads to the formation of MVBs containing exosomes with entrapped IL1B, CASP1 and other inflammasome components. These MVBs undergo exocytosis with the release of exosomes. The release of soluble IL1B occurs after the lysis of exosome membranes (By similarity). 4. Secretion by microvesicle shedding: activation of the ATP receptor P2RX7 may induce an immediate shedding of membrane-derived microvesicles containing IL1B and possibly inflammasome components. The cytokine is then released in the extracellular compartment after microvesicle lysis (PubMed:11728343). 5. Release by translocation through permeabilized plasma membrane. This may occur in cells undergoing pyroptosis due to sustained activation of the inflammasome (By similarity). These mechanisms may not be not mutually exclusive.
Expressed in activated monocytes/macrophages (at protein level).
Belongs to the IL-1 family.
Research Fields
· Cellular Processes > Cell growth and death > Necroptosis. (View pathway)
· Environmental Information Processing > Signal transduction > MAPK signaling pathway. (View pathway)
· Environmental Information Processing > Signaling molecules and interaction > Cytokine-cytokine receptor interaction. (View pathway)
· Environmental Information Processing > Signal transduction > NF-kappa B signaling pathway. (View pathway)
· Environmental Information Processing > Signal transduction > TNF signaling pathway. (View pathway)
· Human Diseases > Drug resistance: Antineoplastic > Antifolate resistance.
· Human Diseases > Endocrine and metabolic diseases > Non-alcoholic fatty liver disease (NAFLD).
· Human Diseases > Endocrine and metabolic diseases > Type I diabetes mellitus.
· Human Diseases > Neurodegenerative diseases > Alzheimer's disease.
· Human Diseases > Neurodegenerative diseases > Prion diseases.
· Human Diseases > Infectious diseases: Bacterial > Salmonella infection.
· Human Diseases > Infectious diseases: Bacterial > Pertussis.
· Human Diseases > Infectious diseases: Bacterial > Legionellosis.
· Human Diseases > Infectious diseases: Parasitic > Leishmaniasis.
· Human Diseases > Infectious diseases: Parasitic > Chagas disease (American trypanosomiasis).
· Human Diseases > Infectious diseases: Parasitic > African trypanosomiasis.
· Human Diseases > Infectious diseases: Parasitic > Malaria.
· Human Diseases > Infectious diseases: Parasitic > Amoebiasis.
· Human Diseases > Infectious diseases: Bacterial > Tuberculosis.
· Human Diseases > Infectious diseases: Viral > Measles.
· Human Diseases > Infectious diseases: Viral > Influenza A.
· Human Diseases > Infectious diseases: Viral > Herpes simplex infection.
· Human Diseases > Immune diseases > Inflammatory bowel disease (IBD).
· Human Diseases > Immune diseases > Rheumatoid arthritis.
· Human Diseases > Immune diseases > Graft-versus-host disease.
· Organismal Systems > Development > Osteoclast differentiation. (View pathway)
· Organismal Systems > Immune system > Toll-like receptor signaling pathway. (View pathway)
· Organismal Systems > Immune system > NOD-like receptor signaling pathway. (View pathway)
· Organismal Systems > Immune system > Cytosolic DNA-sensing pathway. (View pathway)
· Organismal Systems > Immune system > Hematopoietic cell lineage. (View pathway)
· Organismal Systems > Immune system > IL-17 signaling pathway. (View pathway)
· Organismal Systems > Immune system > Th17 cell differentiation. (View pathway)
· Organismal Systems > Sensory system > Inflammatory mediator regulation of TRP channels. (View pathway)
References
Application: WB Species: rat Sample: heart
Application: IHC Species: Mouse Sample:
Application: WB Species: Mouse Sample:
Restrictive clause
Affinity Biosciences tests all products strictly. Citations are provided as a resource for additional applications that have not been validated by Affinity Biosciences. Please choose the appropriate format for each application and consult Materials and Methods sections for additional details about the use of any product in these publications.
For Research Use Only.
Not for use in diagnostic or therapeutic procedures. Not for resale. Not for distribution without written consent. Affinity Biosciences will not be held responsible for patent infringement or other violations that may occur with the use of our products. Affinity Biosciences, Affinity Biosciences Logo and all other trademarks are the property of Affinity Biosciences LTD.