Product: Phospho-SRF (Ser103) Antibody
Catalog: AF4403
Description: Rabbit polyclonal antibody to Phospho-SRF (Ser103)
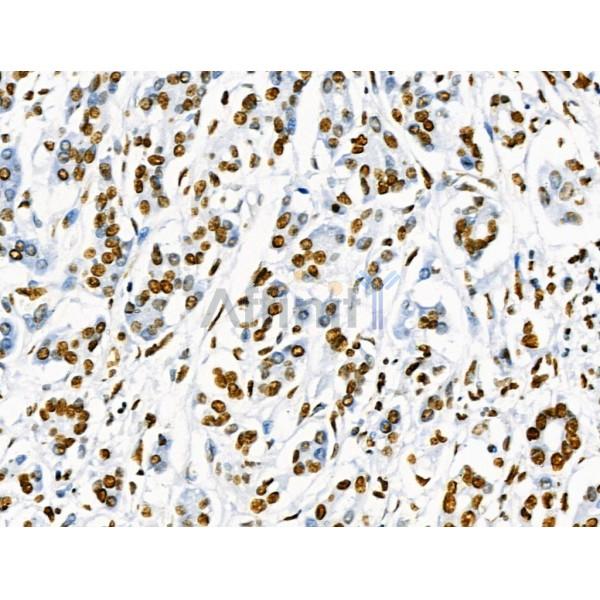
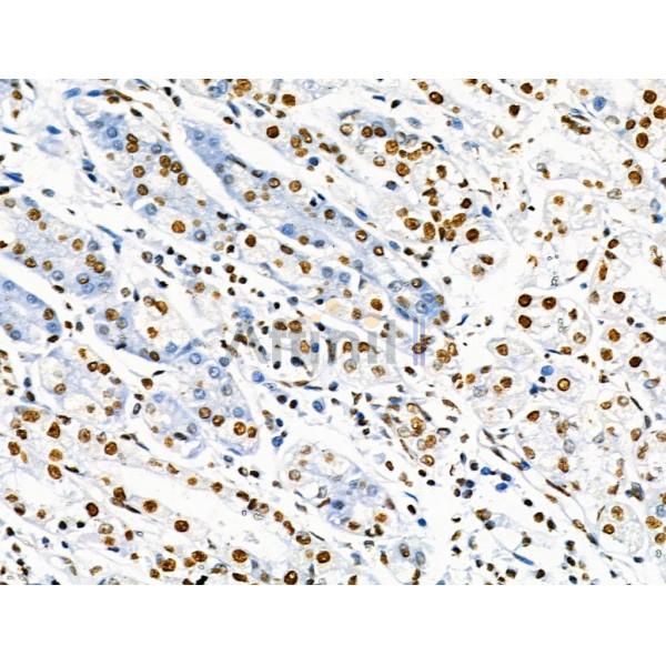
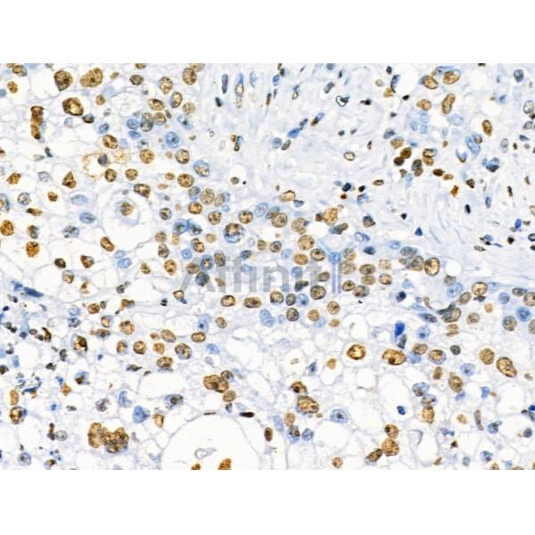
Application: WB IHC
Reactivity: Human, Mouse, Rat
Prediction: Pig, Bovine, Rabbit, Dog
Mol.Wt.: 67kDa; 52kD(Calculated).
Uniprot: P11831
RRID: AB_2844468

View similar products>>

   Size Price Inventory
 100ul $350 In stock
 200ul $450 In stock

Lead Time: Same day delivery

For pricing and ordering contact:
Local distributors

Product Info

Source:
Rabbit
Application:
WB 1:500-1:2000, IHC 1:50-1:200
*The optimal dilutions should be determined by the end user. For optimal experimental results, antibody reuse is not recommended.
*Tips:

WB: For western blot detection of denatured protein samples. IHC: For immunohistochemical detection of paraffin sections (IHC-p) or frozen sections (IHC-f) of tissue samples. IF/ICC: For immunofluorescence detection of cell samples. ELISA(peptide): For ELISA detection of antigenic peptide.

Reactivity:
Human,Mouse,Rat
Prediction:
Pig(100%), Bovine(100%), Rabbit(89%), Dog(100%)
Clonality:
Polyclonal
Specificity:
Phospho-SRF (Ser103) Antibody detects endogenous levels of SRF only when phosphorylated at Ser103.
RRID:
AB_2844468
Cite Format: Affinity Biosciences Cat# AF4403, RRID:AB_2844468.
Conjugate:
Unconjugated.
Purification:
The antibody is from purified rabbit serum by affinity purification via sequential chromatography on phospho-peptide and non-phospho-peptide affinity columns.
Storage:
Rabbit IgG in phosphate buffered saline , pH 7.4, 150mM NaCl, 0.02% sodium azide and 50% glycerol. Store at -20 °C. Stable for 12 months from date of receipt.
Alias:

Fold/Unfold

c fos serum response element binding factor; c fos serum response element binding transcription factor; ELK3; ERP; MCM 1; MCM1; OTTHUMP00000039820; SAP2; Serum response factor; SRF; SRF serum response factor c fos serum response element binding transcription factor; SRF_HUMAN;

Immunogens

Immunogen:

A synthesized peptide derived from human SRF around the phosphorylation site of Ser103.

Uniprot:
Gene(ID):
Sequence:
MLPTQAGAAAALGRGSALGGSLNRTPTGRPGGGGGTRGANGGRVPGNGAGLGPGRLEREAAAAAATTPAPTAGALYSGSEGDSESGEEEELGAERRGLKRSLSEMEIGMVVGGPEASAAATGGYGPVSGAVSGAKPGKKTRGRVKIKMEFIDNKLRRYTTFSKRKTGIMKKAYELSTLTGTQVLLLVASETGHVYTFATRKLQPMITSETGKALIQTCLNSPDSPPRSDPTTDQRMSATGFEETDLTYQVSESDSSGETKDTLKPAFTVTNLPGTTSTIQTAPSTSTTMQVSSGPSFPITNYLAPVSASVSPSAVSSANGTVLKSTGSGPVSSGGLMQLPTSFTLMPGGAVAQQVPVQAIQVHQAPQQASPSRDSSTDLTQTSSSGTVTLPATIMTSSVPTTVGGHMMYPSPHAVMYAPTSGLGDGSLTVLNAFSQAPSTMQVSHSQVQEPGGVPQVFLTASSGTVQIPVSAVQLHQMAVIGQQAGSSSNLTELQVVNLDTAHSTKSE

Predictions

Predictions:

Score>80(red) has high confidence and is suggested to be used for WB detection. *The prediction model is mainly based on the alignment of immunogen sequences, the results are for reference only, not as the basis of quality assurance.

Species
Results
Score
Pig
100
Bovine
100
Dog
100
Rabbit
89
Horse
0
Sheep
0
Xenopus
0
Zebrafish
0
Chicken
0
Model Confidence:
High(score>80) Medium(80>score>50) Low(score<50) No confidence

Research Backgrounds

Function:

SRF is a transcription factor that binds to the serum response element (SRE), a short sequence of dyad symmetry located 300 bp to the 5' of the site of transcription initiation of some genes (such as FOS). Together with MRTFA transcription coactivator, controls expression of genes regulating the cytoskeleton during development, morphogenesis and cell migration. The SRF-MRTFA complex activity responds to Rho GTPase-induced changes in cellular globular actin (G-actin) concentration, thereby coupling cytoskeletal gene expression to cytoskeletal dynamics. Required for cardiac differentiation and maturation.

PTMs:

Phosphorylated by PRKDC.

Subcellular Location:

Nucleus.

Extracellular region or secreted Cytosol Plasma membrane Cytoskeleton Lysosome Endosome Peroxisome ER Golgi apparatus Nucleus Mitochondrion Manual annotation Automatic computational assertionSubcellular location

Research Fields

· Environmental Information Processing > Signal transduction > MAPK signaling pathway.   (View pathway)

· Environmental Information Processing > Signal transduction > cGMP-PKG signaling pathway.   (View pathway)

· Human Diseases > Infectious diseases: Viral > HTLV-I infection.

· Human Diseases > Cancers: Overview > Viral carcinogenesis.

Restrictive clause

 

Affinity Biosciences tests all products strictly. Citations are provided as a resource for additional applications that have not been validated by Affinity Biosciences. Please choose the appropriate format for each application and consult Materials and Methods sections for additional details about the use of any product in these publications.

For Research Use Only.
Not for use in diagnostic or therapeutic procedures. Not for resale. Not for distribution without written consent. Affinity Biosciences will not be held responsible for patent infringement or other violations that may occur with the use of our products. Affinity Biosciences, Affinity Biosciences Logo and all other trademarks are the property of Affinity Biosciences LTD.