Product: CAB39L Antibody
Catalog: DF9307
Description: Rabbit polyclonal antibody to CAB39L
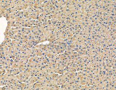
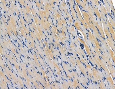
Application: WB IHC IF/ICC
Reactivity: Human, Mouse, Rat, Monkey
Prediction: Pig, Bovine, Horse, Sheep, Rabbit, Dog, Xenopus
Mol.Wt.: 39 kDa; 39kD(Calculated).
Uniprot: Q9H9S4
RRID: AB_2842503

View similar products>>

   Size Price Inventory
 100ul $280 In stock
 200ul $350 In stock

Lead Time: Same day delivery

For pricing and ordering contact:
Local distributors

Product Info

Source:
Rabbit
Application:
IF/ICC 1:100-1:500, IHC 1:50-1:200, WB 1:1000-3000
*The optimal dilutions should be determined by the end user. For optimal experimental results, antibody reuse is not recommended.
*Tips:

WB: For western blot detection of denatured protein samples. IHC: For immunohistochemical detection of paraffin sections (IHC-p) or frozen sections (IHC-f) of tissue samples. IF/ICC: For immunofluorescence detection of cell samples. ELISA(peptide): For ELISA detection of antigenic peptide.

Reactivity:
Human,Mouse,Rat,Monkey
Prediction:
Pig(88%), Bovine(88%), Horse(88%), Sheep(88%), Rabbit(88%), Dog(88%), Xenopus(88%)
Clonality:
Polyclonal
Specificity:
CAB39L Antibody detects endogenous levels of total CAB39L.
RRID:
AB_2842503
Cite Format: Affinity Biosciences Cat# DF9307, RRID:AB_2842503.
Conjugate:
Unconjugated.
Purification:
The antiserum was purified by peptide affinity chromatography using SulfoLink™ Coupling Resin (Thermo Fisher Scientific).
Storage:
Rabbit IgG in phosphate buffered saline , pH 7.4, 150mM NaCl, 0.02% sodium azide and 50% glycerol. Store at -20 °C. Stable for 12 months from date of receipt.
Alias:

Fold/Unfold

Antigen MLAA-34; bA103J18.3; CAB39-LIKE PROTEIN; Cab39l; Calcium-binding protein 39-like; CB39L_HUMAN; FLJ12577; MO25-BETA; Mo25-like protein; MO2L; RP11-103J18.3; sarcoma antigen NY-SAR-79; U937-associated antigen;

Immunogens

Immunogen:

A synthesized peptide derived from human CAB39L, corresponding to a region within C-terminal amino acids.

Uniprot:
Gene(ID):
Sequence:
MKKMPLFSKSHKNPAEIVKILKDNLAILEKQDKKTDKASEEVSKSLQAMKEILCGTNEKEPPTEAVAQLAQELYSSGLLVTLIADLQLIDFEGKKDVTQIFNNILRRQIGTRSPTVEYISAHPHILFMLLKGYEAPQIALRCGIMLRECIRHEPLAKIILFSNQFRDFFKYVELSTFDIASDAFATFKDLLTRHKVLVADFLEQNYDTIFEDYEKLLQSENYVTKRQSLKLLGELILDRHNFAIMTKYISKPENLKLMMNLLRDKSPNIQFEAFHVFKVFVASPHKTQPIVEILLKNQPKLIEFLSSFQKERTDDEQFADEKNYLIKQIRDLKKTAP

Predictions

Predictions:

Score>80(red) has high confidence and is suggested to be used for WB detection. *The prediction model is mainly based on the alignment of immunogen sequences, the results are for reference only, not as the basis of quality assurance.

Species
Results
Score
Pig
88
Horse
88
Bovine
88
Sheep
88
Dog
88
Xenopus
88
Rabbit
88
Zebrafish
0
Chicken
0
Model Confidence:
High(score>80) Medium(80>score>50) Low(score<50) No confidence

Research Backgrounds

Function:

Component of a complex that binds and activates STK11/LKB1. In the complex, required to stabilize the interaction between CAB39/MO25 (CAB39/MO25alpha or CAB39L/MO25beta) and STK11/LKB1 (By similarity).

Family&Domains:

Belongs to the Mo25 family.

Research Fields

· Environmental Information Processing > Signal transduction > mTOR signaling pathway.   (View pathway)

· Environmental Information Processing > Signal transduction > AMPK signaling pathway.   (View pathway)

Restrictive clause

 

Affinity Biosciences tests all products strictly. Citations are provided as a resource for additional applications that have not been validated by Affinity Biosciences. Please choose the appropriate format for each application and consult Materials and Methods sections for additional details about the use of any product in these publications.

For Research Use Only.
Not for use in diagnostic or therapeutic procedures. Not for resale. Not for distribution without written consent. Affinity Biosciences will not be held responsible for patent infringement or other violations that may occur with the use of our products. Affinity Biosciences, Affinity Biosciences Logo and all other trademarks are the property of Affinity Biosciences LTD.