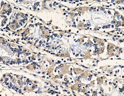
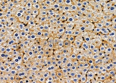
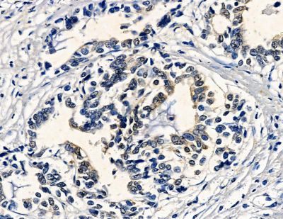
Product: Trypsin-3 Antibody
Catalog: DF8625
Description: Rabbit polyclonal antibody to Trypsin-3
Application: WB IHC IF/ICC
Reactivity: Human, Mouse
Mol.Wt.: 32 kDa; 33kD(Calculated).
Uniprot: P35030
RRID: AB_2841829

View similar products>>

   Size Price Inventory
 100ul $280 In stock
 200ul $350 In stock

Lead Time: Same day delivery

For pricing and ordering contact:
Local distributors

Product Info

Source:
Rabbit
Application:
IHC 1:50-1:200, IF/ICC 1:100-1:500, WB 1:1000-3000
*The optimal dilutions should be determined by the end user. For optimal experimental results, antibody reuse is not recommended.
*Tips:

WB: For western blot detection of denatured protein samples. IHC: For immunohistochemical detection of paraffin sections (IHC-p) or frozen sections (IHC-f) of tissue samples. IF/ICC: For immunofluorescence detection of cell samples. ELISA(peptide): For ELISA detection of antigenic peptide.

Reactivity:
Human,Mouse
Clonality:
Polyclonal
Specificity:
Trypsin-3 Antibody detects endogenous levels of total Trypsin-3.
RRID:
AB_2841829
Cite Format: Affinity Biosciences Cat# DF8625, RRID:AB_2841829.
Conjugate:
Unconjugated.
Purification:
The antiserum was purified by peptide affinity chromatography using SulfoLink™ Coupling Resin (Thermo Fisher Scientific).
Storage:
Rabbit IgG in phosphate buffered saline , pH 7.4, 150mM NaCl, 0.02% sodium azide and 50% glycerol. Store at -20 °C. Stable for 12 months from date of receipt.
Alias:

Fold/Unfold

Brain trypsinogen; Mesotrypsin; Mesotrypsinogen; MTG; Pancreatic trypsinogen III; Protease, serine, 3; Protease, serine, 4 (trypsin 4, brain); PRSS3; PRSS4; Serine protease 3; Serine protease 4; T9; TRY3; TRY3_HUMAN; TRY4; Trypsin 3; Trypsin III; Trypsin IV; Trypsin-3; Trypsinogen 4; Trypsinogen 5; Trypsinogen IV;

Immunogens

Immunogen:

A synthesized peptide derived from human Trypsin-3, corresponding to a region within N-terminal amino acids.

Uniprot:
Gene(ID):
Expression:
P35030 TRY3_HUMAN:

Detected in pancreas and pancreatic fluid (at protein level) (PubMed:6698368). Expressed in pancreas and brain (PubMed:8294000). Detected in ileum (PubMed:12021776).

Sequence:
MCGPDDRCPARWPGPGRAVKCGKGLAAARPGRVERGGAQRGGAGLELHPLLGGRTWRAARDADGCEALGTVAVPFDDDDKIVGGYTCEENSLPYQVSLNSGSHFCGGSLISEQWVVSAAHCYKTRIQVRLGEHNIKVLEGNEQFINAAKIIRHPKYNRDTLDNDIMLIKLSSPAVINARVSTISLPTTPPAAGTECLISGWGNTLSFGADYPDELKCLDAPVLTQAECKASYPGKITNSMFCVGFLEGGKDSCQRDSGGPVVCNGQLQGVVSWGHGCAWKNRPGVYTKVYNYVDWIKDTIAANS

Research Backgrounds

Function:

Digestive protease that cleaves proteins preferentially after an Arg residue and has proteolytic activity toward Kunitz-type trypsin inhibitors.

Subcellular Location:

Secreted.

Extracellular region or secreted Cytosol Plasma membrane Cytoskeleton Lysosome Endosome Peroxisome ER Golgi apparatus Nucleus Mitochondrion Manual annotation Automatic computational assertionSubcellular location
Tissue Specificity:

Detected in pancreas and pancreatic fluid (at protein level). Expressed in pancreas and brain. Detected in ileum.

Family&Domains:

Belongs to the peptidase S1 family.

Research Fields

· Environmental Information Processing > Signaling molecules and interaction > Neuroactive ligand-receptor interaction.

· Human Diseases > Infectious diseases: Viral > Influenza A.

· Organismal Systems > Digestive system > Pancreatic secretion.

· Organismal Systems > Digestive system > Protein digestion and absorption.

Restrictive clause

 

Affinity Biosciences tests all products strictly. Citations are provided as a resource for additional applications that have not been validated by Affinity Biosciences. Please choose the appropriate format for each application and consult Materials and Methods sections for additional details about the use of any product in these publications.

For Research Use Only.
Not for use in diagnostic or therapeutic procedures. Not for resale. Not for distribution without written consent. Affinity Biosciences will not be held responsible for patent infringement or other violations that may occur with the use of our products. Affinity Biosciences, Affinity Biosciences Logo and all other trademarks are the property of Affinity Biosciences LTD.